Antibody data
- Antibody Data
- Antigen structure
- References [0]
- Comments [0]
- Validations
- Immunocytochemistry [2]
- Immunohistochemistry [5]
Submit
Validation data
Reference
Comment
Report error
- Product number
- PA5-59988 - Provider product page

- Provider
- Invitrogen Antibodies
- Product name
- UNC80 Polyclonal Antibody
- Antibody type
- Polyclonal
- Antigen
- Recombinant protein fragment
- Description
- Immunogen sequence: KDSLNNVVDF LHALLGFCME PVTDNKAGFG NNFTTVDNKS TAQNVEGIIV SAMFKSLITR CASTTHELHS PENLGLYCDI RQLVQFIKEA HGNVFR Highest antigen sequence identity to the following orthologs: Mouse - 99%, Rat - 99%.
- Reactivity
- Human
- Host
- Rabbit
- Isotype
- IgG
- Vial size
- 100 μL
- Concentration
- 0.1 mg/mL
- Storage
- Store at 4°C short term. For long term storage, store at -20°C, avoiding freeze/thaw cycles.
No comments: Submit comment
Supportive validation
- Submitted by
- Invitrogen Antibodies (provider)
- Main image

- Experimental details
- Immunofluorescent staining of UNC80 in human cell line U-251 MG using an UNC80 Polyclonal Antibody (Product # PA5-59988) shows localization to vesicles.
- Submitted by
- Invitrogen Antibodies (provider)
- Main image

- Experimental details
- Immunofluorescent staining of UNC80 in human cell line U-251 MG using an UNC80 Polyclonal Antibody (Product # PA5-59988) shows localization to vesicles.
Supportive validation
- Submitted by
- Invitrogen Antibodies (provider)
- Main image

- Experimental details
- Immunohistochemical staining of UNC80 in human cerebral cortex and pancreas tissues using UNC80 Polyclonal Antibody (Product # PA5-59988). Corresponding UNC80 RNA-seq data are presented for the same tissues.
- Submitted by
- Invitrogen Antibodies (provider)
- Main image

- Experimental details
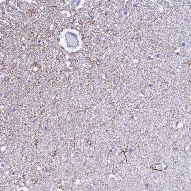
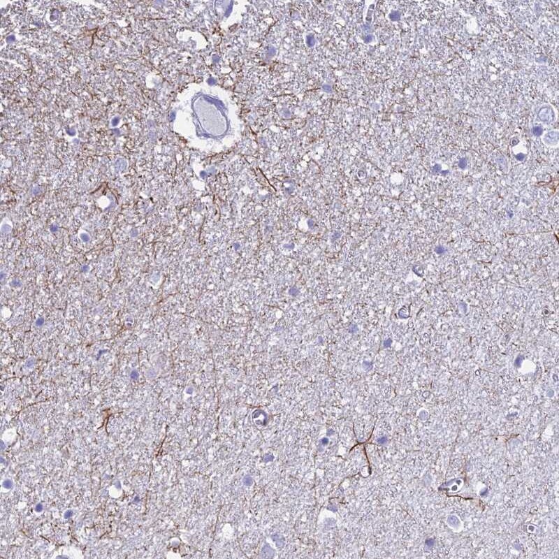
- Immunohistochemical staining of UNC80 in human cerebral cortex using UNC80 Polyclonal Antibody (Product # PA5-59988) shows high expression.
- Submitted by
- Invitrogen Antibodies (provider)
- Main image

- Experimental details
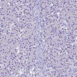
- Immunohistochemical staining of UNC80 in human pancreas using UNC80 Polyclonal Antibody (Product # PA5-59988) shows low expression as expected.
- Submitted by
- Invitrogen Antibodies (provider)
- Main image

- Experimental details
- Immunohistochemical staining of UNC80 in human cerebral cortex and pancreas tissues using UNC80 Polyclonal Antibody (Product # PA5-59988). Corresponding UNC80 RNA-seq data are presented for the same tissues.
- Submitted by
- Invitrogen Antibodies (provider)
- Main image

- Experimental details
- Immunohistochemical staining of UNC80 in human cerebral cortex using UNC80 Polyclonal Antibody (Product # PA5-59988) shows high expression.