Antibody data
- Antibody Data
- Antigen structure
- References [0]
- Comments [0]
- Validations
- Western blot [1]
- Immunocytochemistry [1]
- Immunohistochemistry [3]
Submit
Validation data
Reference
Comment
Report error
- Product number
- PA5-120430 - Provider product page

- Provider
- Invitrogen Antibodies
- Product name
- GTPBP8 Polyclonal Antibody
- Antibody type
- Polyclonal
- Antigen
- Recombinant full-length protein
- Description
- Positive test controls include: Mouse liver, Rat liver. Immunogen sequence: MAAPGLRLGA GRLFEMPAVL ERLSRYNSTS QAFAEVLRLP KQQLRKLLYP LQEVERFLAP YGRQDLHLRI FDPSPEDIAR ADNIFTATER NRIDYVSSAV RIDHAPDLPR PEVCFIGRSN VGKSSLIKAL FSLAPEVEVR VSKKPGHTKK MNFFKVGKHF TVVDMPGYGF
- Reactivity
- Human, Mouse, Rat
- Host
- Rabbit
- Isotype
- IgG
- Vial size
- 100 μL
- Concentration
- 0.62 mg/mL
- Storage
- -20°C, Avoid Freeze/Thaw Cycles
No comments: Submit comment
Supportive validation
- Submitted by
- Invitrogen Antibodies (provider)
- Main image

- Experimental details
- Western blot analysis of GTPBP8 in extracts of various cell lines. Samples were incubated with GTPBP8 Polyclonal antibody (Product # PA5-120430) using a dilution of 1:1,000, followed by HRP Goat Anti-Rabbit IgG (H+L) at a dilution of 1:10,000. Lysates/proteins: 25 µg per lane. Blocking buffer: 3% nonfat dry milk in TBST. Detection: ECL Enhanced Kit. Exposure time: 20s.
Supportive validation
- Submitted by
- Invitrogen Antibodies (provider)
- Main image

- Experimental details
- Immunofluorescence analysis of GTPBP8 in L929 cells. Samples were incubated with GTPBP8 Polyclonal antibody (Product # PA5-120430) using a dilution of 1:100. Blue: DAPI for nuclear staining.
Supportive validation
- Submitted by
- Invitrogen Antibodies (provider)
- Main image

- Experimental details
- Immunohistochemistry analysis of GTPBP8 in paraffin-embedded human liver. Samples were incubated with GTPBP8 Polyclonal antibody (Product # PA5-120430) using a dilution of 1:100 (40x lens). Perform microwave antigen retrieval with 10 mM PBS buffer pH 7.2 before commencing with IHC staining protocol.
- Submitted by
- Invitrogen Antibodies (provider)
- Main image

- Experimental details
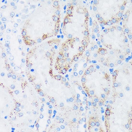
- Immunohistochemistry analysis of GTPBP8 in paraffin-embedded rat kidney. Samples were incubated with GTPBP8 Polyclonal antibody (Product # PA5-120430) using a dilution of 1:100 (40x lens). Perform microwave antigen retrieval with 10 mM PBS buffer pH 7.2 before commencing with IHC staining protocol.
- Submitted by
- Invitrogen Antibodies (provider)
- Main image

- Experimental details
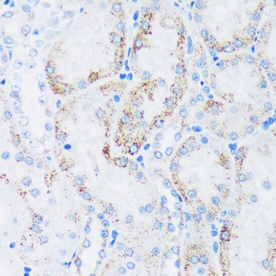
- Immunohistochemistry analysis of GTPBP8 in paraffin-embedded rat kidney. Samples were incubated with GTPBP8 Polyclonal antibody (Product # PA5-120430) using a dilution of 1:100 (40x lens). Perform microwave antigen retrieval with 10 mM PBS buffer pH 7.2 before commencing with IHC staining protocol.