Antibody data
- Antibody Data
- Antigen structure
- References [0]
- Comments [0]
- Validations
- Immunocytochemistry [2]
- Immunohistochemistry [2]
Submit
Validation data
Reference
Comment
Report error
- Product number
- PA5-57947 - Provider product page

- Provider
- Invitrogen Antibodies
- Product name
- THAP9 Polyclonal Antibody
- Antibody type
- Polyclonal
- Antigen
- Recombinant protein fragment
- Description
- Immunogen sequence: LSEALLDLSD HRRNLICYAG YVANKLSALL TCEDCITALY ASDLKASKIG SLLFVKKKNG LHFPSESLCR VINICERVVR THSR Highest antigen sequence identity to the following orthologs: Mouse - 23%, Rat - 26%.
- Reactivity
- Human
- Host
- Rabbit
- Isotype
- IgG
- Vial size
- 100 μL
- Concentration
- 0.05 mg/mL
- Storage
- Store at 4°C short term. For long term storage, store at -20°C, avoiding freeze/thaw cycles.
No comments: Submit comment
Supportive validation
- Submitted by
- Invitrogen Antibodies (provider)
- Main image

- Experimental details
- Immunofluorescent staining of THAP9 in human cell line A-431 shows positivity in mitochondria. Samples were probed using a THAP9 Polyclonal Antibody (Product # PA5-57947).
- Submitted by
- Invitrogen Antibodies (provider)
- Main image

- Experimental details
- Immunofluorecent analysis of THAP9 in human cell line A-431 using THAP9 Polyclonal Antibody (Product # PA5-57947). Staining shows localization to mitochondria.
Supportive validation
- Submitted by
- Invitrogen Antibodies (provider)
- Main image

- Experimental details
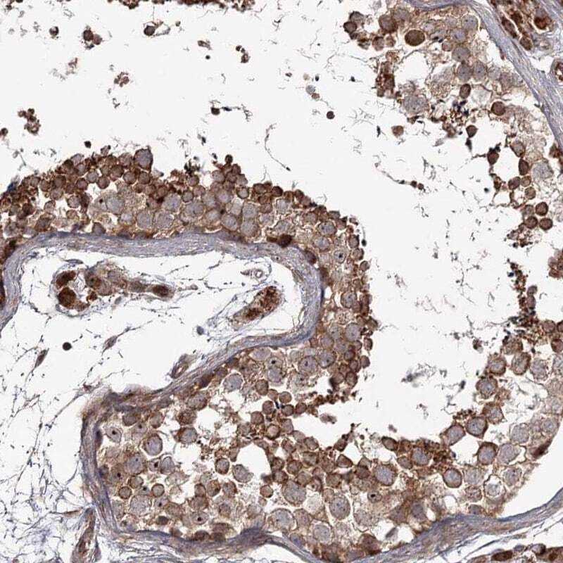
- Immunohistochemical staining of THAP9 in human testis using a THAP9 Polyclonal Antibody (Product # PA5-57947) shows distinct cytoplasmic in cells in seminiferous ducts.
- Submitted by
- Invitrogen Antibodies (provider)
- Main image

- Experimental details
- Immunohistochemical staining of THAP9 in human testis using a THAP9 Polyclonal Antibody (Product # PA5-57947) shows distinct cytoplasmic in cells in seminiferous ducts.