Antibody data
- Antibody Data
- Antigen structure
- References [0]
- Comments [0]
- Validations
- Immunocytochemistry [2]
- Immunohistochemistry [3]
Submit
Validation data
Reference
Comment
Report error
- Product number
- PA5-60765 - Provider product page

- Provider
- Invitrogen Antibodies
- Product name
- C6orf132 Polyclonal Antibody
- Antibody type
- Polyclonal
- Antigen
- Recombinant protein fragment
- Description
- Immunogen sequence: QGTFSKLFGK KHTTTPSTSL YATNPPWIFT QEAPEEGTGG FDGIYYGDNR FNTVSESGTA TLKARPRVRP LLTFLPLNAQ EN Highest antigen sequence identity to the following orthologs: Mouse - 88%, Rat - 90%.
- Reactivity
- Human
- Host
- Rabbit
- Isotype
- IgG
- Vial size
- 100 μL
- Concentration
- 0.3 mg/mL
- Storage
- Store at 4°C short term. For long term storage, store at -20°C, avoiding freeze/thaw cycles.
No comments: Submit comment
Supportive validation
- Submitted by
- Invitrogen Antibodies (provider)
- Main image

- Experimental details
- Immunofluorescent staining of C6orf132 in human cell line A-431 shows positivity in cytoplasm & the Golgi apparatus. Samples were probed using a C6orf132 Polyclonal Antibody (Product # PA5-60765).
- Submitted by
- Invitrogen Antibodies (provider)
- Main image

- Experimental details
- Immunofluorecent analysis of C6orf132 in human cell line A-431 using C6orf132 Polyclonal Antibody (Product # PA5-60765). Staining shows localization to cytosol and the Golgi apparatus.
Supportive validation
- Submitted by
- Invitrogen Antibodies (provider)
- Main image

- Experimental details
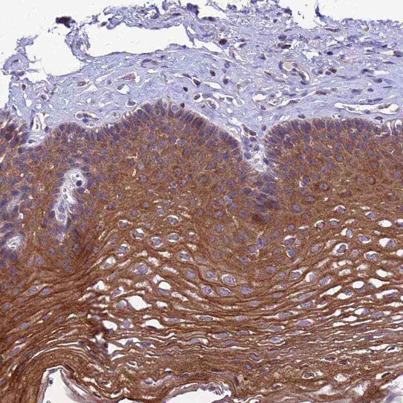
- Immunohistochemical staining of C6orf132 in human esophagus using C6orf132 Polyclonal Antibody (Product # PA5-60765) shows high expression.
- Submitted by
- Invitrogen Antibodies (provider)
- Main image

- Experimental details
- Immunohistochemical staining of C6orf132 in human colon using C6orf132 Polyclonal Antibody (Product # PA5-60765) shows low expression as expected.
- Submitted by
- Invitrogen Antibodies (provider)
- Main image

- Experimental details
- Immunohistochemical staining of C6orf132 in human esophagus using C6orf132 Polyclonal Antibody (Product # PA5-60765) shows high expression.