Antibody data
- Antibody Data
- Antigen structure
- References [0]
- Comments [0]
- Validations
- Western blot [1]
- Immunocytochemistry [3]
- Immunohistochemistry [6]
Submit
Validation data
Reference
Comment
Report error
- Product number
- PA5-58306 - Provider product page

- Provider
- Invitrogen Antibodies
- Product name
- GPATCH11 Polyclonal Antibody
- Antibody type
- Polyclonal
- Antigen
- Recombinant protein fragment
- Description
- Immunogen sequence: KSGIGHEASL KRKAEEKLES YRKKIHMKNQ AEEKAAEQFR MRLKNKQDEM KLEGDLRRSQ RACQQLDVQK NIQVPREAWY WL Highest antigen sequence identity to the following orthologs: Mouse - 88%, Rat - 87%.
- Reactivity
- Human, Mouse, Rat
- Host
- Rabbit
- Isotype
- IgG
- Vial size
- 100 μL
- Concentration
- 0.2 mg/mL
- Storage
- Store at 4°C short term. For long term storage, store at -20°C, avoiding freeze/thaw cycles.
No comments: Submit comment
Supportive validation
- Submitted by
- Invitrogen Antibodies (provider)
- Main image

- Experimental details
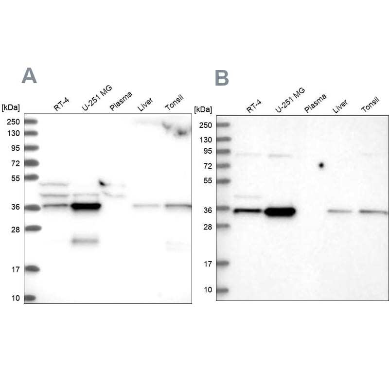
- Western blot analysis of GPATCH11 using GPATCH11 Polyclonal Antibody (Product # PA5-58306) (A) shows similar pattern to an independent GPATCH11 Polyclonal Antibody (B).
Supportive validation
- Submitted by
- Invitrogen Antibodies (provider)
- Main image

- Experimental details
- Immunofluorescent staining of GPATCH11 in human cell line U-2 OS shows positivity in nucleus. Samples were probed using a GPATCH11 Polyclonal Antibody (Product # PA5-58306).
- Submitted by
- Invitrogen Antibodies (provider)
- Main image

- Experimental details
- Immunofluorescent staining of GPATCH11 in human cell line U-251 MG using GPATCH11 Polyclonal Antibody (Product # PA5-58306) shows localization to nucleus.
- Submitted by
- Invitrogen Antibodies (provider)
- Main image

- Experimental details
- Immunofluorescent staining of GPATCH11 in human cell line U-251 MG using GPATCH11 Polyclonal Antibody (Product # PA5-58306) shows localization to nucleus.
Supportive validation
- Submitted by
- Invitrogen Antibodies (provider)
- Main image

- Experimental details
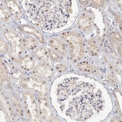
- Immunohistochemical analysis of GPATCH11 in human kidney using GPATCH11 Polyclonal Antibody (Product # PA5-58306) shows weak nuclear positivity in cells in tubules.
- Submitted by
- Invitrogen Antibodies (provider)
- Main image

- Experimental details
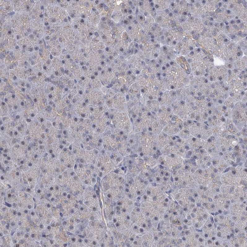
- Immunohistochemical analysis of GPATCH11 in human pancreas using GPATCH11 Polyclonal Antibody (Product # PA5-58306) shows no positivity in exocrine glandular cells as expected.
- Submitted by
- Invitrogen Antibodies (provider)
- Main image

- Experimental details
- Immunohistochemical analysis of GPATCH11 in human skin using GPATCH11 Polyclonal Antibody (Product # PA5-58306) shows moderate nuclear and cytoplasmic positivity in squamous epithelial cells.
- Submitted by
- Invitrogen Antibodies (provider)
- Main image

- Experimental details
- Immunohistochemical staining of GPATCH11 in human testis and pancreas tissues using GPATCH11 Polyclonal Antibody (Product # PA5-58306). Corresponding GPATCH11 RNA-seq data are presented for the same tissues.
- Submitted by
- Invitrogen Antibodies (provider)
- Main image

- Experimental details
- Immunohistochemical staining of GPATCH11 in human pancreas using GPATCH11 Polyclonal Antibody (Product # PA5-58306) shows low expression as expected.
- Submitted by
- Invitrogen Antibodies (provider)
- Main image

- Experimental details
- Immunohistochemical analysis of GPATCH11 in human pancreas using GPATCH11 Polyclonal Antibody (Product # PA5-58306) shows no positivity in exocrine glandular cells as expected.