PAB23797
antibody from Abnova Corporation
Targeting: CABCOCO1
bA63A2.1, C10orf107, Em:AC022398.2, MGC44593
Antibody data
- Antibody Data
- Antigen structure
- References [0]
- Comments [0]
- Validations
- Western blot [1]
- Immunohistochemistry [1]
Submit
Validation data
Reference
Comment
Report error
- Product number
- PAB23797 - Provider product page

- Provider
- Abnova Corporation
- Proper citation
- Abnova Corporation Cat#PAB23797, RRID:AB_11122201
- Product name
- C10orf107 polyclonal antibody
- Antibody type
- Polyclonal
- Description
- Rabbit polyclonal antibody raised against recombinant C10orf107.
- Antigen sequence
EMKRLDQEQGPEESQPETDTSDMDPLVGFTIEDVK
SVLDQVTDDILIGIQTEINEKLQIQEEAFNARIE- Isotype
- IgG
- Storage
- Store at 4°C. For long term storage store at -20°C.Aliquot to avoid repeated freezing and thawing.
No comments: Submit comment
Supportive validation
- Submitted by
- Abnova Corporation (provider)
- Main image

- Experimental details
- Western blot analysis of Lane 1: Negative control (vector only transfected HEK293T lysate).Lane 2: Over-expression lysate (Co-expressed with a C-terminal myc-DDK tag (~3.1 kDa) in mammalian HEK293T cells with C10orf107 polyclonal antibody (Cat # PAB23797).
Supportive validation
- Submitted by
- Abnova Corporation (provider)
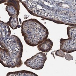
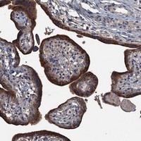
- Main image

- Experimental details
- Immunohistochemical staining of human placenta with C10orf107 polyclonal antibody (Cat # PAB23797) shows strong cytoplasmic positivity in trophoblastic cells at 1:200-1:500 dilution.
- Validation comment
- Immunohistochemistry (Formalin/PFA-fixed paraffin-embedded sections)