PA5-59550
antibody from Invitrogen Antibodies
Targeting: CABCOCO1
bA63A2.1, C10orf107, Em:AC022398.2, MGC44593
Antibody data
- Antibody Data
- Antigen structure
- References [0]
- Comments [0]
- Validations
- Immunohistochemistry [3]
Submit
Validation data
Reference
Comment
Report error
- Product number
- PA5-59550 - Provider product page

- Provider
- Invitrogen Antibodies
- Product name
- CABCOCO1 Polyclonal Antibody
- Antibody type
- Polyclonal
- Antigen
- Recombinant protein fragment
- Description
- Immunogen sequence: EMKRLDQEQG PEESQPETDT SDMDPLVGFT IEDVKSVLDQ VTDDILIGIQ TEINEKLQIQ EEAFNARIE Highest antigen sequence identity to the following orthologs: Mouse - 64%, Rat - 67%.
- Reactivity
- Human
- Host
- Rabbit
- Isotype
- IgG
- Vial size
- 100 μL
- Concentration
- 0.2 mg/mL
- Storage
- Store at 4°C short term. For long term storage, store at -20°C, avoiding freeze/thaw cycles.
No comments: Submit comment
Supportive validation
- Submitted by
- Invitrogen Antibodies (provider)
- Main image

- Experimental details
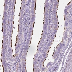
- Immunohistochemical analysis of CABCOCO1 in human fallopian tube using CABCOCO1 Polyclonal Antibody (Product # PA5-59550) shows high expression.
- Submitted by
- Invitrogen Antibodies (provider)
- Main image

- Experimental details
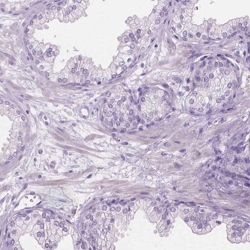
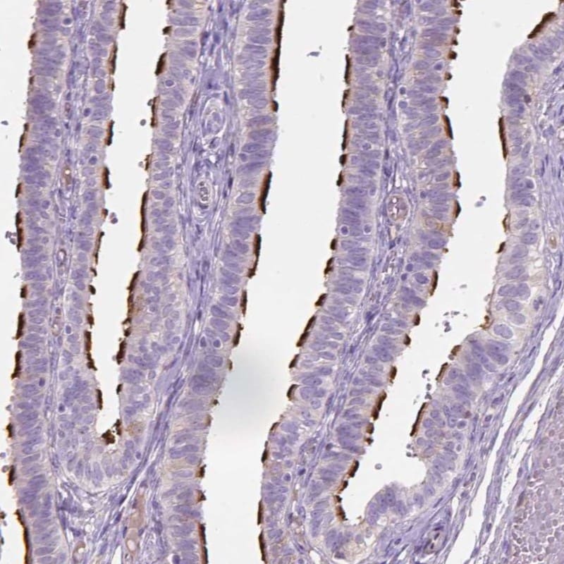
- Immunohistochemical staining of C10orf107 in human fallopian tube and prostate tissues using C10orf107 Polyclonal Antibody (Product # PA5-59550). Corresponding C10orf107 RNA-seq data are presented for the same tissues.
- Submitted by
- Invitrogen Antibodies (provider)
- Main image

- Experimental details
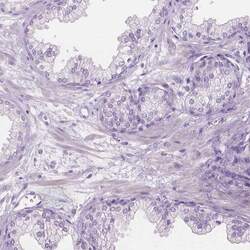
- Immunohistochemical staining of C10orf107 in human prostate using C10orf107 Polyclonal Antibody (Product # PA5-59550) shows low expression as expected.