ABIN5649442
antibody from antibodies-online
Targeting: CABCOCO1
bA63A2.1, C10orf107, Em:AC022398.2, MGC44593
Antibody data
- Antibody Data
- Antigen structure
- References [0]
- Comments [0]
- Validations
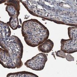
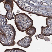
- Immunohistochemistry [1]
Submit
Validation data
Reference
Comment
Report error
- Product number
- ABIN5649442 - Provider product page

- Provider
- antibodies-online
- Product name
- anti-Chromosome 10 Open Reading Frame 107 (C10ORF107) antibody
- Antibody type
- Polyclonal
- Reactivity
- Human
- Host
- Rabbit
- Isotype
- IgG
- Vial size
- 100 μL
- Storage
- Store at 4°C. For long term storage store at -20°C.Aliquot to avoid repeated freezing and thawing.
No comments: Submit comment
Supportive validation
- Submitted by
- antibodies-online (provider)
- Main image

- Experimental details
- IHC