NBP2-22128
antibody from Novus Biologicals
Targeting: PRKDC
DNA-PKC, DNA-PKcs, DNAPK, DNAPKc, DNPK1, HYRC, HYRC1, p350, p460, XRCC7
Antibody data
- Antibody Data
- Antigen structure
- References [2]
- Comments [0]
- Validations
- Western blot [2]
- ELISA [1]
- Immunohistochemistry [2]
Submit
Validation data
Reference
Comment
Report error
- Product number
- NBP2-22128 - Provider product page

- Provider
- Novus Biologicals
- Product name
- Mouse Monoclonal DNA-PKcs Antibody
- Antibody type
- Monoclonal
- Description
- Unpurified.
- Reactivity
- Human, Mouse
- Host
- Mouse
- Isotype
- IgG
- Vial size
- 0.1 ml
- Concentration
- 1.0 mg/ml
- Storage
- Store at 4C short term. Aliquot and store at -20C long term. Avoid freeze-thaw cycles.
Submitted references Interactome of the Autoimmune Risk Protein ANKRD55.
Chromatin association of XRCC5/6 in the absence of DNA damage depends on the XPE gene product DDB2.
Ugidos N, Mena J, Baquero S, Alloza I, Azkargorta M, Elortza F, Vandenbroeck K
Frontiers in immunology 2019;10:2067
Frontiers in immunology 2019;10:2067
Chromatin association of XRCC5/6 in the absence of DNA damage depends on the XPE gene product DDB2.
Fantini D, Huang S, Asara JM, Bagchi S, Raychaudhuri P
Molecular biology of the cell 2017 Jan 1;28(1):192-200
Molecular biology of the cell 2017 Jan 1;28(1):192-200
No comments: Submit comment
Supportive validation
- Submitted by
- Novus Biologicals (provider)
- Main image

- Experimental details
- Western Blot: DNA-PKcs Antibody (3H6) [NBP2-22128] - Analysis using DNA PKcs mAb against HEK293 (1) and DNA PKcs(AA: 2638-2971)-hIgGFc transfected HEK293 (2) cell lysates.
- Submitted by
- Novus Biologicals (provider)
- Main image

- Experimental details
- Western Blot: DNA-PKcs Antibody (3H6) [NBP2-22128] - HeLa (A), MCF7 (lB) and HEK293 (C) whole cell protein was separated by SDS-PAGE on 6% gel, transferred to PVDF and probed with NBP2-22128. A single band of DNA PKcs reactivity at approximately 460 kDa was detected in all lysates.
Supportive validation
- Submitted by
- Novus Biologicals (provider)
- Main image

- Experimental details
- ELISA: DNA-PKcs Antibody (3H6) [NBP2-22128] - Red: Control Antigen (100ng), Purple: Antigen (10ng), Green: Antigen (50ng), Blue: Antigen (100ng).
Supportive validation
- Submitted by
- Novus Biologicals (provider)
- Main image

- Experimental details
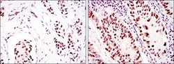
- Immunohistochemistry-Paraffin: DNA-PKcs Antibody (3H6) [NBP2-22128] - Analysis of paraffin-embedded breast cancer (left) and colon cancer (right) using DNA PKcs mouse mAb with DAB staining.
- Submitted by
- Novus Biologicals (provider)
- Main image

- Experimental details
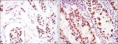
- Immunohistochemistry-Paraffin: DNA-PKcs Antibody (3H6) [NBP2-22128] - Analysis of paraffin-embedded lung cancer (left) and brain tissues (right) using DNA PKcs mouse mAb with DAB staining.