TA336925
antibody from OriGene
Targeting: PRKDC
DNA-PKC, DNA-PKcs, DNAPK, DNAPKc, DNPK1, HYRC, HYRC1, p350, p460, XRCC7
Antibody data
- Antibody Data
- Antigen structure
- References [0]
- Comments [0]
- Validations
- Western blot [2]
- ELISA [1]
- Immunocytochemistry [1]
- Immunohistochemistry [2]
Submit
Validation data
Reference
Comment
Report error
- Product number
- TA336925 - Provider product page

- Provider
- OriGene
- Product name
- Mouse Monoclonal DNA-PKcs Antibody (3H6)
- Antibody type
- Monoclonal
- Description
- Mouse Monoclonal DNA-PKcs Antibody (3H6)
- Host
- Mouse
- Conjugate
- Unconjugated
- Epitope
- PRKDC
- Isotype
- IgG
- Antibody clone number
- 3H6
- Vial size
- 100 µl
- Concentration
- 1.0 mg/ml
No comments: Submit comment
Supportive validation
- Submitted by
- OriGene (provider)
- Main image

- Experimental details
- Western Blot: DNA PKcs Antibody (3H6) [TA336925] - Western blot analysis using DNA PKcs mAb against HEK293 (1) and DNA PKcs(AA: 2638-2971)-hIgGFc transfected HEK293 (2) cell lysate.
- Validation comment
- WB
- Submitted by
- OriGene (provider)
- Main image

- Experimental details
- Western Blot: DNA PKcs Antibody (3H6) [TA336925] - Western blot image of DNA PKcs. HeLa (lane A), MCF7 (lane B) and HEK293 (lane C) whole cell protein was separated by SDS-PAGE on 6% gel, transferred to PVDF and probed with TA336925. A single band of DNA
- Validation comment
- WB
Supportive validation
- Submitted by
- OriGene (provider)
- Main image

- Experimental details
- ELISA: DNA PKcs Antibody (3H6) [TA336925] - Red: Control Antigen (100ng); Purple: Antigen (10ng); Green: Antigen (50ng); Blue: Antigen (100ng).
- Validation comment
- ELISA
Supportive validation
- Submitted by
- OriGene (provider)
- Main image

- Experimental details
- Immunocytochemistry/Immunofluorescence: DNA PKcs Antibody (3H6) [TA336925] - Immunofluorescence analysis of Hela cells using DNA PKcs mouse mAb (green). Red: Actin filaments have been labeled with Alexa Fluor-555 phalloidin.
- Validation comment
- IF
Supportive validation
- Submitted by
- OriGene (provider)
- Main image

- Experimental details
- Immunohistochemistry-Paraffin: DNA PKcs Antibody (3H6) [TA336925] - Immunohistochemical analysis of paraffin-embedded breast cancer (left) and colon cancer (right) using DNA PKcs mouse mAb with DAB staining.
- Validation comment
- IHC
- Submitted by
- OriGene (provider)
- Main image

- Experimental details
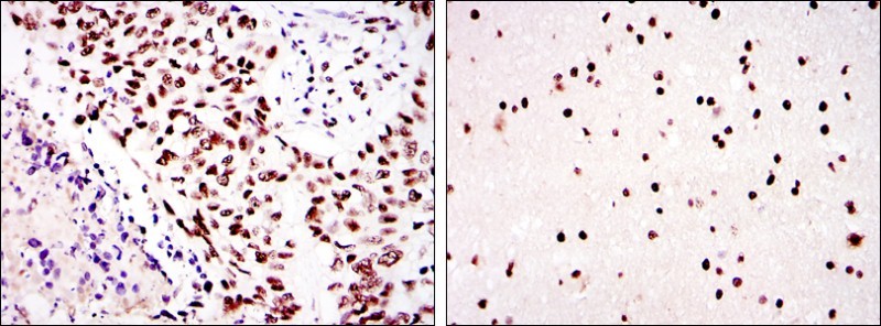
- Immunohistochemistry-Paraffin: DNA PKcs Antibody (3H6) [TA336925] - Immunohistochemical analysis of paraffin-embedded lung cancer (left) and brain tissues (right) using DNA PKcs mouse mAb with DAB staining.
- Validation comment
- IHC