ARG54084
antibody from Arigo
Targeting: PRKDC
DNA-PKC, DNA-PKcs, DNAPK, DNAPKc, DNPK1, HYRC, HYRC1, p350, p460, XRCC7
Antibody data
- Antibody Data
- Antigen structure
- References [0]
- Comments [0]
- Validations
- Western blot [2]
- Immunocytochemistry [1]
- Immunoprecipitation [1]
- Immunohistochemistry [1]
Submit
Validation data
Reference
Comment
Report error
- Product number
- ARG54084 - Provider product page

- Provider
- Arigo
- Product name
- anti-DNA-PKcs antibody
- Antibody type
- Monoclonal
- Antigen
- Purified recombinant human DNA-PKcs protein fragments expressed in E.coli
- Description
- Affinity purified
- Reactivity
- Human
- Host
- Mouse
- Isotype
- IgG
- Antibody clone number
- 6D1-C11-F10
- Vial size
- 100 µl
- Concentration
- Lot dependent
- Storage
- Aliquot and store at -20°C. Storage in frost free freezers is not recommended. Avoid repeated freeze/thaw cycles. The antibody solution should be gently mixed before use.
- Handling
- The antibody solution should be gently mixed before use.
No comments: Submit comment
Supportive validation
- Submitted by
- Arigo (provider)
- Main image

- Experimental details
- Western Blot: DNA-PKcs in HeLa and K562 cell lysates stained with DNA-PKcs antibody [6D1-C11-F10] (ARG54084) (diluted in 1: 1000). Predicted band size: 450KDa, Observed band size: 450KDa.
- Submitted by
- Arigo (provider)
- Main image

- Experimental details
- Western Blot: DNA-PKcs in HeLa, Molt-4, A549 and HCT116 cell lysates stained with DNA-PKcs antibody [6D1-C11-F10] (ARG54084) (diluted in 1: 1000). Predicted band size: 450KDa. Observed band size: 450KDa.
Supportive validation
- Submitted by
- Arigo (provider)
- Main image

- Experimental details
- Immunocytochemistry stain of HeLa using DNA-PKcs antibody [6D1-C11-F10] (ARG54084) (diluted in 1:100).
Supportive validation
- Submitted by
- Arigo (provider)
- Main image

- Experimental details
- Immunoprecipitation: HeLa cell lysate immunoprecipitated and stained by DNA-PKcs antibody [6D1-C11-F10] (ARG54084).
Supportive validation
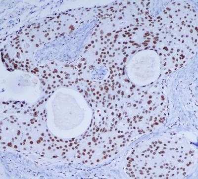
- Submitted by
- Arigo (provider)
- Main image

- Experimental details
- Immunohistochemistry: paraffin-embedded Breast cancer stained with DNA-PKcs antibody [6D1-C11-F10] (ARG54084) (diluted in 1/200). Antigen retrieval was performed by pressure cooking in citrate buffer (pH 6. 0).