Antibody data
- Antibody Data
- Antigen structure
- References [0]
- Comments [0]
- Validations
- Western blot [1]
- Immunohistochemistry [1]
Submit
Validation data
Reference
Comment
Report error
- Product number
- PAB23655 - Provider product page

- Provider
- Abnova Corporation
- Proper citation
- Abnova Corporation Cat#PAB23655, RRID:AB_11123718
- Product name
- CNNM1 polyclonal antibody
- Antibody type
- Polyclonal
- Description
- Rabbit polyclonal antibody raised against recombinant CNNM1.
- Antigen sequence
TACHMDSSPQSPDMEAFTDGDSTKAPTTRGTPQTP
KDDPAITLLNNRNSLPCSRSDGLRSPSEVVYLRME
ELAFTQEEMTDFEEHSTQQLT- Isotype
- IgG
- Storage
- Store at 4°C. For long term storage store at -20°C.Aliquot to avoid repeated freezing and thawing.
No comments: Submit comment
Supportive validation
- Submitted by
- Abnova Corporation (provider)
- Main image

- Experimental details
- Western blot analysis of Lane 1: RT-4, Lane 2: U-251 MG, Lane 3: Human Plasma, Lane 4: Liver, Lane 5: Tonsil with CNNM1 polyclonal antibody (Cat # PAB23655).
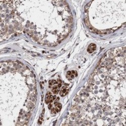
Supportive validation
- Submitted by
- Abnova Corporation (provider)
- Main image

- Experimental details
- Immunohistochemical staining of human testis with CNNM1 polyclonal antibody (Cat # PAB23655) shows moderate cytoplasmic positivity in cells in seminiferus ducts and strong positivity in Leydig cells at 1:1000-1:2500 dilution.
- Validation comment
- Immunohistochemistry (Formalin/PFA-fixed paraffin-embedded sections)