Antibody data
- Antibody Data
- Antigen structure
- References [0]
- Comments [0]
- Validations
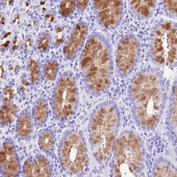
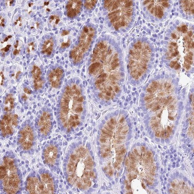
- Immunohistochemistry [1]
Submit
Validation data
Reference
Comment
Report error
- Product number
- NBP1-94179 - Provider product page

- Provider
- Novus Biologicals
- Proper citation
- Novus Cat#NBP1-94179, RRID:AB_11034106
- Product name
- Rabbit Polyclonal DCDC2B Antibody
- Antibody type
- Polyclonal
- Description
- Immunogen affinity purified. Specificity of human DCDC2B antibody verified on a Protein Array containing target protein plus 383 other non-specific proteins.
- Reactivity
- Human
- Host
- Rabbit
- Isotype
- IgG
- Vial size
- 0.1 ml
- Storage
- Store at 4C short term. Aliquot and store at -20C long term. Avoid freeze-thaw cycles.
No comments: Submit comment
Supportive validation
- Submitted by
- Novus Biologicals (provider)
- Main image

- Experimental details
- Immunohistochemistry-Paraffin: DCDC2B Antibody [NBP1-94179] Staining of human stomach, upper shows strong cytoplasmic positivity in glandular cells.