Antibody data
- Antibody Data
- Antigen structure
- References [0]
- Comments [0]
- Validations
- Western blot [1]
- Immunohistochemistry [4]
Submit
Validation data
Reference
Comment
Report error
- Product number
- NBP1-90721 - Provider product page

- Provider
- Novus Biologicals
- Proper citation
- Novus Cat#NBP1-90721, RRID:AB_11026138
- Product name
- Rabbit Polyclonal PLAC8 Antibody
- Antibody type
- Polyclonal
- Description
- Immunogen affinity purified. Specificity of human PLAC8 antibody verified on a Protein Array containing target protein plus 383 other non-specific proteins.
- Reactivity
- Human
- Host
- Rabbit
- Isotype
- IgG
- Vial size
- 0.1 ml
- Storage
- Store at 4C short term. Aliquot and store at -20C long term. Avoid freeze-thaw cycles.
No comments: Submit comment
Supportive validation
- Submitted by
- Novus Biologicals (provider)
- Main image

- Experimental details
- Western Blot: PLAC8 Antibody [NBP1-90721] - Analysis in human spleen tissue.
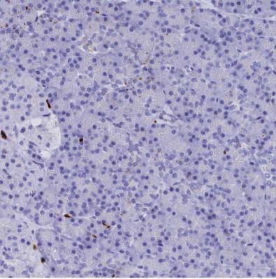
Supportive validation
- Submitted by
- Novus Biologicals (provider)
- Main image

- Experimental details
- Immunohistochemistry-Paraffin: PLAC8 Antibody [NBP1-90721] - Staining of human pancreas shows no positivity in exocrine glandular cells as expected.
- Submitted by
- Novus Biologicals (provider)
- Main image

- Experimental details
- Immunohistochemistry-Paraffin: PLAC8 Antibody [NBP1-90721] - Staining of human lymphoid tissues shows moderate to strong cytoplasmic positivity in non-germinal center cells.
- Submitted by
- Novus Biologicals (provider)
- Main image

- Experimental details
- Immunohistochemistry-Paraffin: PLAC8 Antibody [NBP1-90721] - Staining of human gastrointestinal tract shows moderate to strong cytoplasmic positivity in cells in lamina propria.
- Submitted by
- Novus Biologicals (provider)
- Main image

- Experimental details
- Immunohistochemistry-Paraffin: PLAC8 Antibody [NBP1-90721] - Staining of human placenta shows moderate to strong cytoplasmic positivity in peripheral blood leukocytes.