Antibody data
- Antibody Data
- Antigen structure
- References [0]
- Comments [0]
- Validations
- Immunocytochemistry [2]
- Immunohistochemistry [2]
Submit
Validation data
Reference
Comment
Report error
- Product number
- PA5-59197 - Provider product page

- Provider
- Invitrogen Antibodies
- Product name
- FAM154B Polyclonal Antibody
- Antibody type
- Polyclonal
- Antigen
- Recombinant protein fragment
- Description
- Immunogen sequence: QGLIGETAKL CRPVHTRVTQ NALFEGSTEF RESFQPWEIP PPEVKKVPEY VPPTGSMLLN STSHLDYVPY QANHVVPIR Highest antigen sequence identity to the following orthologs: Mouse - 81%, Rat - 78%.
- Reactivity
- Human
- Host
- Rabbit
- Isotype
- IgG
- Vial size
- 100 μL
- Concentration
- 0.2 mg/mL
- Storage
- Store at 4°C short term. For long term storage, store at -20°C, avoiding freeze/thaw cycles.
No comments: Submit comment
Supportive validation
- Submitted by
- Invitrogen Antibodies (provider)
- Main image

- Experimental details
- Immunofluorescent staining of FAM154B in human cell line HEK 293 shows positivity in the Golgi apparatus & nucleus but excluded from the nucleoli. Samples were probed using a FAM154B Polyclonal Antibody (Product # PA5-59197).
- Submitted by
- Invitrogen Antibodies (provider)
- Main image

- Experimental details
- Immunofluorecent analysis of FAM154B in human cell line HEK 293 using FAM154B Polyclonal Antibody (Product # PA5-59197). Staining shows localization to nucleoplasm and the Golgi apparatus.
Supportive validation
- Submitted by
- Invitrogen Antibodies (provider)
- Main image

- Experimental details
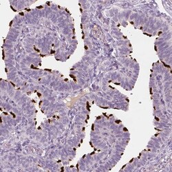
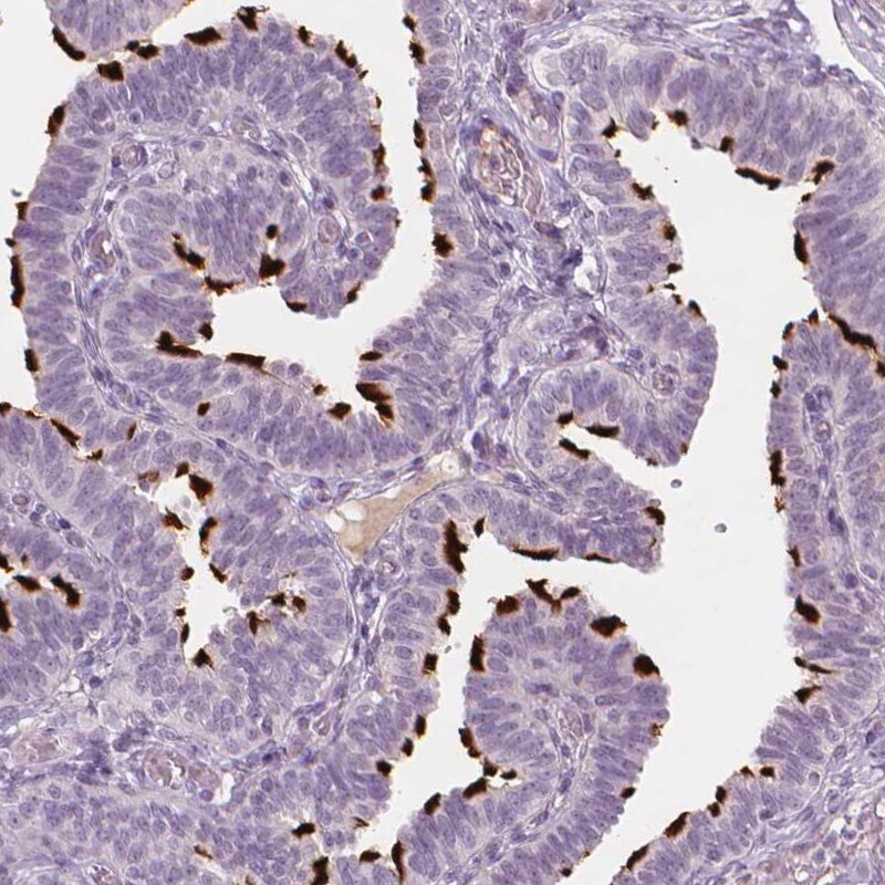
- Immunohistochemical staining of FAM154B in human fallopian tube using FAM154B Polyclonal Antibody (Product # PA5-59197) shows high expression.
- Submitted by
- Invitrogen Antibodies (provider)
- Main image

- Experimental details
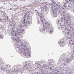
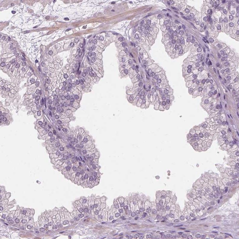
- Immunohistochemical staining of FAM154B in human prostate using FAM154B Polyclonal Antibody (Product # PA5-59197) shows low expression as expected.