Antibody data
- Antibody Data
- Antigen structure
- References [0]
- Comments [0]
- Validations
- Immunocytochemistry [3]
- Immunohistochemistry [4]
Submit
Validation data
Reference
Comment
Report error
- Product number
- PA5-64185 - Provider product page

- Provider
- Invitrogen Antibodies
- Product name
- SPICE1 Polyclonal Antibody
- Antibody type
- Polyclonal
- Antigen
- Recombinant protein fragment
- Description
- Immunogen sequence: DEQLISLTHA IKNCPVINNR QEIQASESGA TGRRVMDSPE RPVVNANVSV PLMFREEVAE FPQEELPVKL SQVP Highest antigen sequence identity to the following orthologs: Mouse - 75%, Rat - 71%.
- Reactivity
- Human
- Host
- Rabbit
- Isotype
- IgG
- Vial size
- 100 μL
- Concentration
- 0.05 mg/mL
- Storage
- Store at 4°C short term. For long term storage, store at -20°C, avoiding freeze/thaw cycles.
No comments: Submit comment
Supportive validation
- Submitted by
- Invitrogen Antibodies (provider)
- Main image

- Experimental details
- Immunofluorescent staining of SPICE1 in human cell line U-2 OS shows positivity in centrosome. Samples were probed using a SPICE1 Polyclonal Antibody (Product # PA5-64185).
- Submitted by
- Invitrogen Antibodies (provider)
- Main image

- Experimental details
- Immunofluorescent staining of SPICE1 in human cell line A-431 using SPICE1 Polyclonal Antibody (Product # PA5-64185) shows localization to centrosome.
- Submitted by
- Invitrogen Antibodies (provider)
- Main image

- Experimental details
- Immunofluorescent staining of SPICE1 in human cell line A-431 using SPICE1 Polyclonal Antibody (Product # PA5-64185) shows localization to centrosome.
Supportive validation
- Submitted by
- Invitrogen Antibodies (provider)
- Main image

- Experimental details
- Immunohistochemical analysis of SPICE1 in human colon using SPICE1 Polyclonal Antibody (Product # PA5-64185) shows strong granular cytoplasmic positivity in glandular cells.
- Submitted by
- Invitrogen Antibodies (provider)
- Main image

- Experimental details
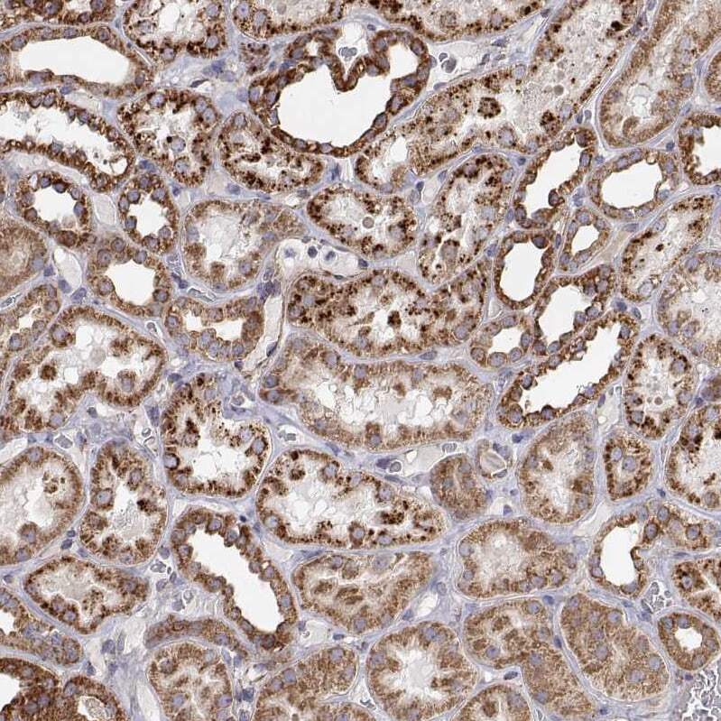
- Immunohistochemical analysis of SPICE1 in human kidney using SPICE1 Polyclonal Antibody (Product # PA5-64185) shows strong granular cytoplasmic positivity in cells in tubules.
- Submitted by
- Invitrogen Antibodies (provider)
- Main image

- Experimental details
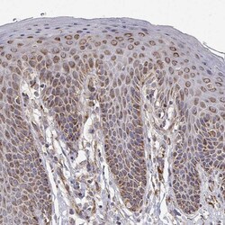
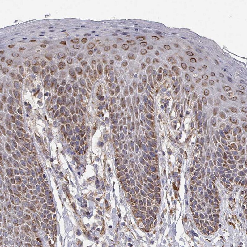
- Immunohistochemical analysis of SPICE1 in human skin using SPICE1 Polyclonal Antibody (Product # PA5-64185) shows strong granular cytoplasmic positivity in squamous epithelial cells.
- Submitted by
- Invitrogen Antibodies (provider)
- Main image

- Experimental details
- Immunohistochemical analysis of SPICE1 in human liver using SPICE1 Polyclonal Antibody (Product # PA5-64185) shows strong granular cytoplasmic positivity in hepatocytes.