Antibody data
- Antibody Data
- Antigen structure
- References [0]
- Comments [0]
- Validations
- Immunocytochemistry [2]
- Immunohistochemistry [4]
Submit
Validation data
Reference
Comment
Report error
- Product number
- PA5-59418 - Provider product page

- Provider
- Invitrogen Antibodies
- Product name
- KNOP1 Polyclonal Antibody
- Antibody type
- Polyclonal
- Antigen
- Recombinant protein fragment
- Description
- Immunogen sequence: TAGFENEDQK LKFLRLMGGF KNLSPSFSRP ASTIARPNMA LGKKAADSLQ QNLQRDYDRA MSWKYSRGAG LGFSTAPNKI FYIDRNASKS VKL Highest antigen sequence identity to the following orthologs: Mouse - 75%, Rat - 76%.
- Reactivity
- Human
- Host
- Rabbit
- Isotype
- IgG
- Vial size
- 100 μL
- Concentration
- 0.10 mg/mL
- Storage
- Store at 4°C short term. For long term storage, store at -20°C, avoiding freeze/thaw cycles.
No comments: Submit comment
Supportive validation
- Submitted by
- Invitrogen Antibodies (provider)
- Main image

- Experimental details
- Immunofluorescent staining of KNOP1 in human cell line A-431 shows positivity in nucleoli & cytoplasm. Samples were probed using a KNOP1 Polyclonal Antibody (Product # PA5-59418).
- Submitted by
- Invitrogen Antibodies (provider)
- Main image

- Experimental details
- Immunofluorecent analysis of KNOP1 in human cell line A-431 using KNOP1 Polyclonal Antibody (Product # PA5-59418). Staining shows localization to nucleoli and cytosol.
Supportive validation
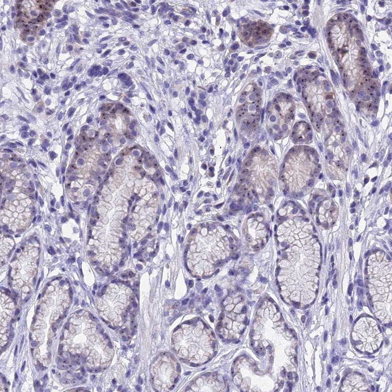
- Submitted by
- Invitrogen Antibodies (provider)
- Main image

- Experimental details
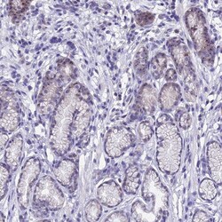
- Immunohistochemical staining of KNOP1 in human stomach, upper using a KNOP1 Polyclonal Antibody (Product # PA5-59418) shows distinct nucleolar positivity in glandular cells.
- Submitted by
- Invitrogen Antibodies (provider)
- Main image

- Experimental details
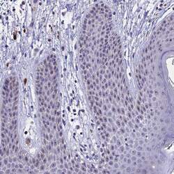
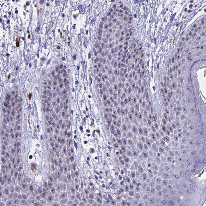
- Immunohistochemical analysis of KNOP1 in human skin using KNOP1 Polyclonal Antibody (Product # PA5-59418) shows strong positivity in nucleoli in squamous epithelial cells.
- Submitted by
- Invitrogen Antibodies (provider)
- Main image

- Experimental details
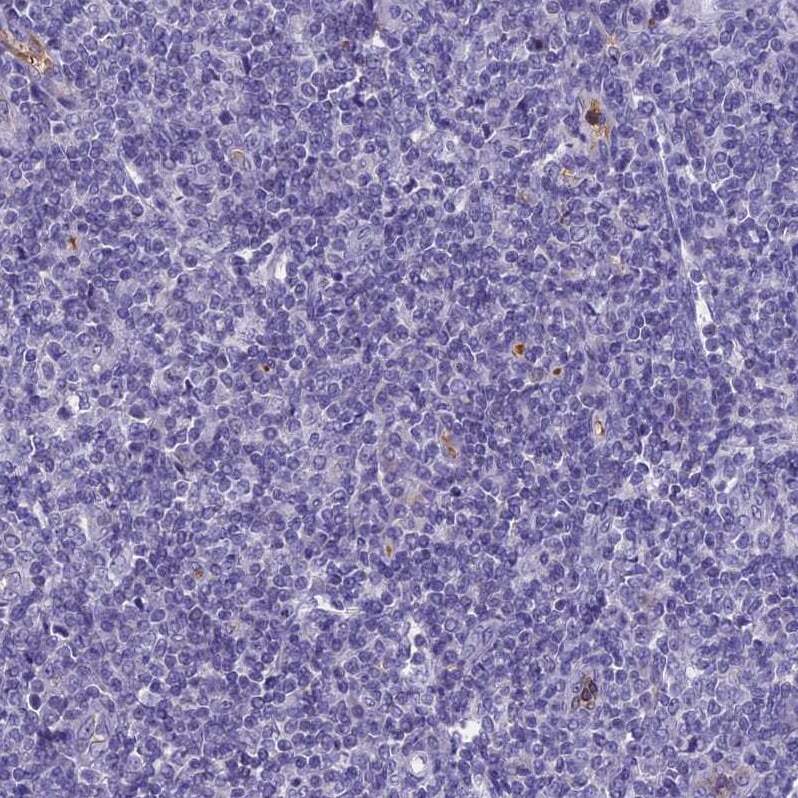
- Immunohistochemical analysis of KNOP1 in human tonsil using KNOP1 Polyclonal Antibody (Product # PA5-59418) shows no positivity in non-germinal center cells as expected.
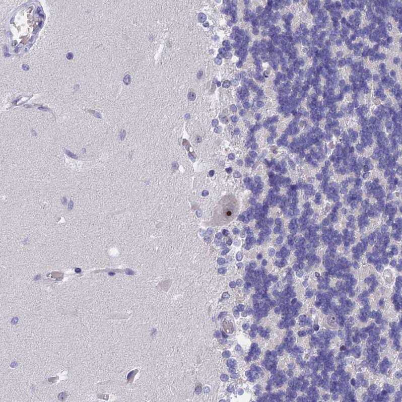
- Submitted by
- Invitrogen Antibodies (provider)
- Main image

- Experimental details
- Immunohistochemical analysis of KNOP1 in human cerebellum using KNOP1 Polyclonal Antibody (Product # PA5-59418) shows strong positivity in nucleoli in Purkinje cells.