Antibody data
- Antibody Data
- Antigen structure
- References [1]
- Comments [0]
- Validations
- Immunohistochemistry [4]
- Other assay [1]
Submit
Validation data
Reference
Comment
Report error
- Product number
- PA5-61043 - Provider product page

- Provider
- Invitrogen Antibodies
- Product name
- OR2W3 Polyclonal Antibody
- Antibody type
- Polyclonal
- Antigen
- Recombinant protein fragment
- Description
- Immunogen sequence: GHHEVDHFLR EMPALIRMAC VSTVAIE Highest antigen sequence identity to the following orthologs: Mouse - 78%, Rat - 78%.
- Reactivity
- Human
- Host
- Rabbit
- Isotype
- IgG
- Vial size
- 100 μL
- Concentration
- 0.2 mg/mL
- Storage
- Store at 4°C short term. For long term storage, store at -20°C, avoiding freeze/thaw cycles.
Submitted references Functional Characterization of Olfactory Receptors in the Thyroid Gland.
Weidinger D, Jovancevic N, Zwanziger D, Theurer S, Hönes J, Führer D, Hatt H
Frontiers in physiology 2021;12:676907
Frontiers in physiology 2021;12:676907
No comments: Submit comment
Supportive validation
- Submitted by
- Invitrogen Antibodies (provider)
- Main image

- Experimental details
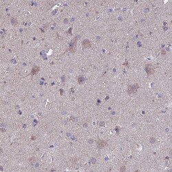
- Immunohistochemical analysis of OR2W3 in human cerebral cortex using OR2W3 Polyclonal Antibody (Product # PA5-61043) shows weak positivity in neurons.
- Submitted by
- Invitrogen Antibodies (provider)
- Main image

- Experimental details
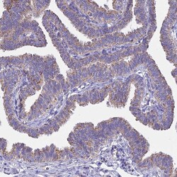
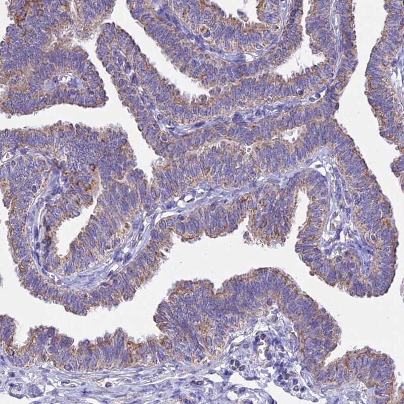
- Immunohistochemical analysis of OR2W3 in human fallopian tube using OR2W3 Polyclonal Antibody (Product # PA5-61043) shows weak positivity in glandular cells.
- Submitted by
- Invitrogen Antibodies (provider)
- Main image

- Experimental details
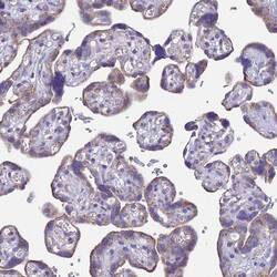
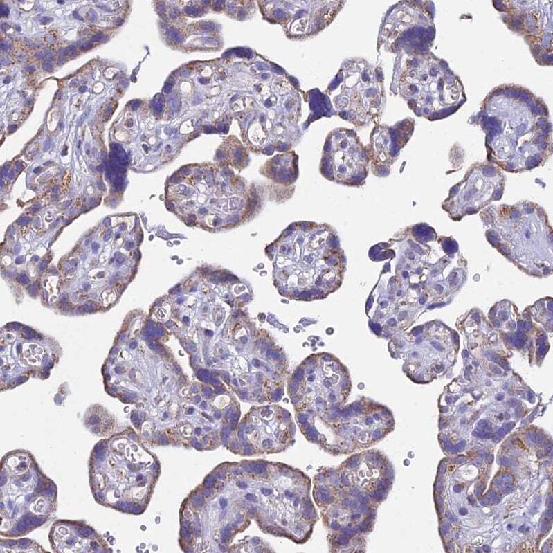
- Immunohistochemical analysis of OR2W3 in human placenta using OR2W3 Polyclonal Antibody (Product # PA5-61043) shows moderate positivity in trophoblastic cells.
- Submitted by
- Invitrogen Antibodies (provider)
- Main image

- Experimental details
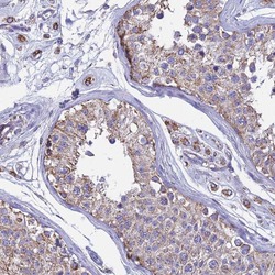
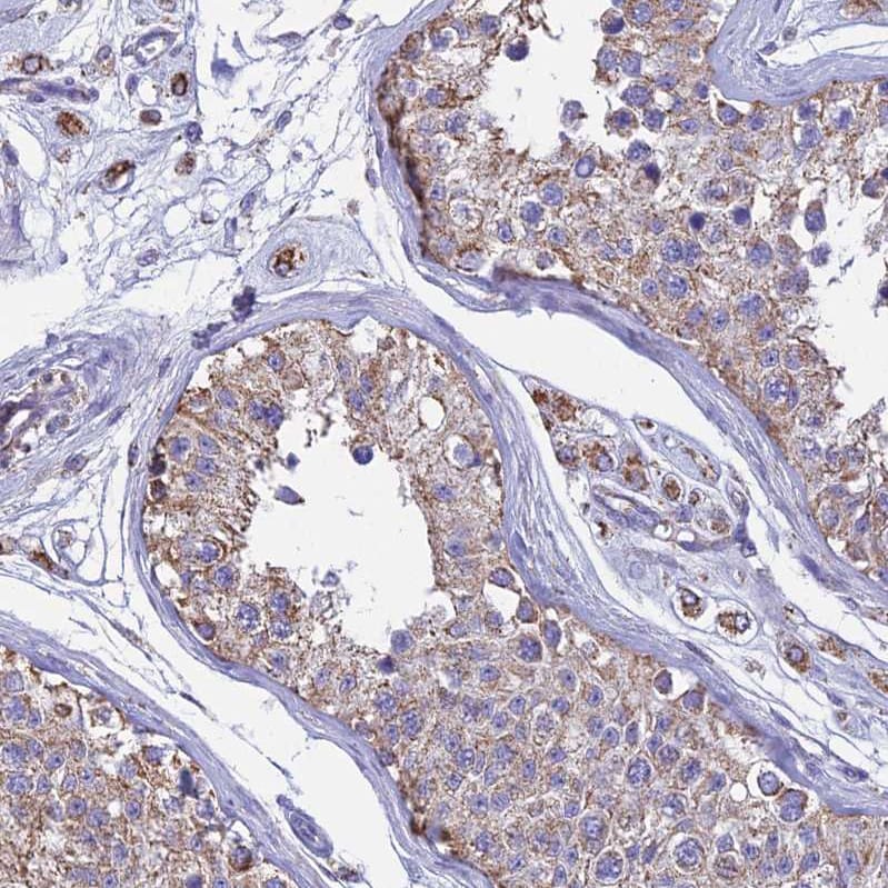
- Immunohistochemical analysis of OR2W3 in human testis using OR2W3 Polyclonal Antibody (Product # PA5-61043) shows moderate positivity in cells in seminiferous ducts.
Supportive validation
- Submitted by
- Invitrogen Antibodies (provider)
- Main image

- Experimental details
- Figure 2 Localization of OR2H2 and OR2W3 in human thyroid cell lines. Nthy-ori 3-1 (A) , BCPAP (B) , and FTC 133 (C) cells were stained with specific antibodies against OR2H2 and OR2W3 (green), the cytoskeleton (red) was marked with phalloidin, whereas the cell nucleus (blue) was stained with Hoechst 33258. The scale bar corresponds to 20 mum.