Antibody data
- Antibody Data
- Antigen structure
- References [4]
- Comments [0]
- Validations
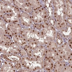
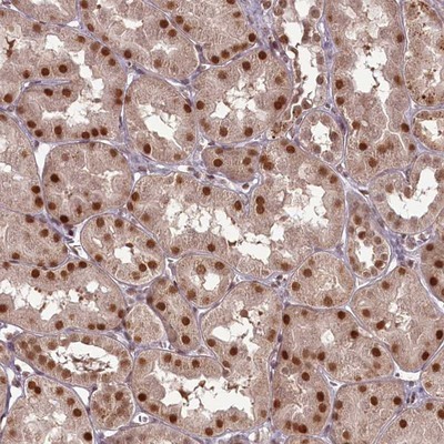
- Immunohistochemistry [1]
Submit
Validation data
Reference
Comment
Report error
- Product number
- NBP1-90690 - Provider product page

- Provider
- Novus Biologicals
- Proper citation
- Novus Cat#NBP1-90690, RRID:AB_11033050
- Product name
- Rabbit Polyclonal CCDC41 Antibody
- Antibody type
- Polyclonal
- Description
- Immunogen affinity purified. Specificity of human CCDC41 antibody verified on a Protein Array containing target protein plus 383 other non-specific proteins.
- Reactivity
- Human
- Host
- Rabbit
- Isotype
- IgG
- Vial size
- 0.1 ml
- Storage
- Store at 4C short term. Aliquot and store at -20C long term. Avoid freeze-thaw cycles.
Submitted references CEP120 interacts with C2CD3 and Talpid3 and is required for centriole appendage assembly and ciliogenesis.
Centrosome-intrinsic mechanisms modulate centrosome integrity during fever.
Centriole maturation requires regulated Plk1 activity during two consecutive cell cycles.
Mutations of CEP83 cause infantile nephronophthisis and intellectual disability.
Tsai JJ, Hsu WB, Liu JH, Chang CW, Tang TK
Scientific reports 2019 Apr 15;9(1):6037
Scientific reports 2019 Apr 15;9(1):6037
Centrosome-intrinsic mechanisms modulate centrosome integrity during fever.
Vertii A, Zimmerman W, Ivshina M, Doxsey S
Molecular biology of the cell 2015 Oct 1;26(19):3451-63
Molecular biology of the cell 2015 Oct 1;26(19):3451-63
Centriole maturation requires regulated Plk1 activity during two consecutive cell cycles.
Kong D, Farmer V, Shukla A, James J, Gruskin R, Kiriyama S, Loncarek J
The Journal of cell biology 2014 Sep 29;206(7):855-65
The Journal of cell biology 2014 Sep 29;206(7):855-65
Mutations of CEP83 cause infantile nephronophthisis and intellectual disability.
Failler M, Gee HY, Krug P, Joo K, Halbritter J, Belkacem L, Filhol E, Porath JD, Braun DA, Schueler M, Frigo A, Alibeu O, Masson C, Brochard K, Hurault de Ligny B, Novo R, Pietrement C, Kayserili H, Salomon R, Gubler MC, Otto EA, Antignac C, Kim J, Benmerah A, Hildebrandt F, Saunier S
American journal of human genetics 2014 Jun 5;94(6):905-14
American journal of human genetics 2014 Jun 5;94(6):905-14
No comments: Submit comment
Supportive validation
- Submitted by
- Novus Biologicals (provider)
- Main image

- Experimental details
- Immunohistochemistry-Paraffin: CCDC41 Antibody [NBP1-90690] - Staining of human kidney shows strong nuclear positivity in renal tubules.