Antibody data
- Antibody Data
- Antigen structure
- References [0]
- Comments [0]
- Validations
- Immunocytochemistry [3]
- Immunohistochemistry [1]
Submit
Validation data
Reference
Comment
Report error
- Product number
- PA5-60127 - Provider product page

- Provider
- Invitrogen Antibodies
- Product name
- FAM131A Polyclonal Antibody
- Antibody type
- Polyclonal
- Antigen
- Recombinant protein fragment
- Description
- Immunogen sequence: ELLLAKLPPS RESAFRSLGP LEAQDSLYNS PLTESCLSPA EEEPAPCKDC QPLCPPLTGS WERQRQASDL ASSGVVSL Highest antigen sequence identity to the following orthologs: Mouse - 87%, Rat - 85%.
- Reactivity
- Human, Mouse, Rat
- Host
- Rabbit
- Isotype
- IgG
- Vial size
- 100 μL
- Concentration
- 0.2 mg/mL
- Storage
- Store at 4°C short term. For long term storage, store at -20°C, avoiding freeze/thaw cycles.
No comments: Submit comment
Supportive validation
- Submitted by
- Invitrogen Antibodies (provider)
- Main image

- Experimental details
- Immunofluorescent staining of FAM131A in human cell line U-2 OS shows positivity in nucleus & nucleoli. Samples were probed using a FAM131A Polyclonal Antibody (Product # PA5-60127).
- Submitted by
- Invitrogen Antibodies (provider)
- Main image

- Experimental details
- Immunofluorescent staining of FAM131A in human cell line A-431 using a FAM131A Polyclonal Antibody (Product # PA5-60127) shows localization to nucleus and nucleoli.
- Submitted by
- Invitrogen Antibodies (provider)
- Main image

- Experimental details
- Immunofluorescent staining of FAM131A in human cell line A-431 using a FAM131A Polyclonal Antibody (Product # PA5-60127) shows localization to nucleus and nucleoli.
Supportive validation
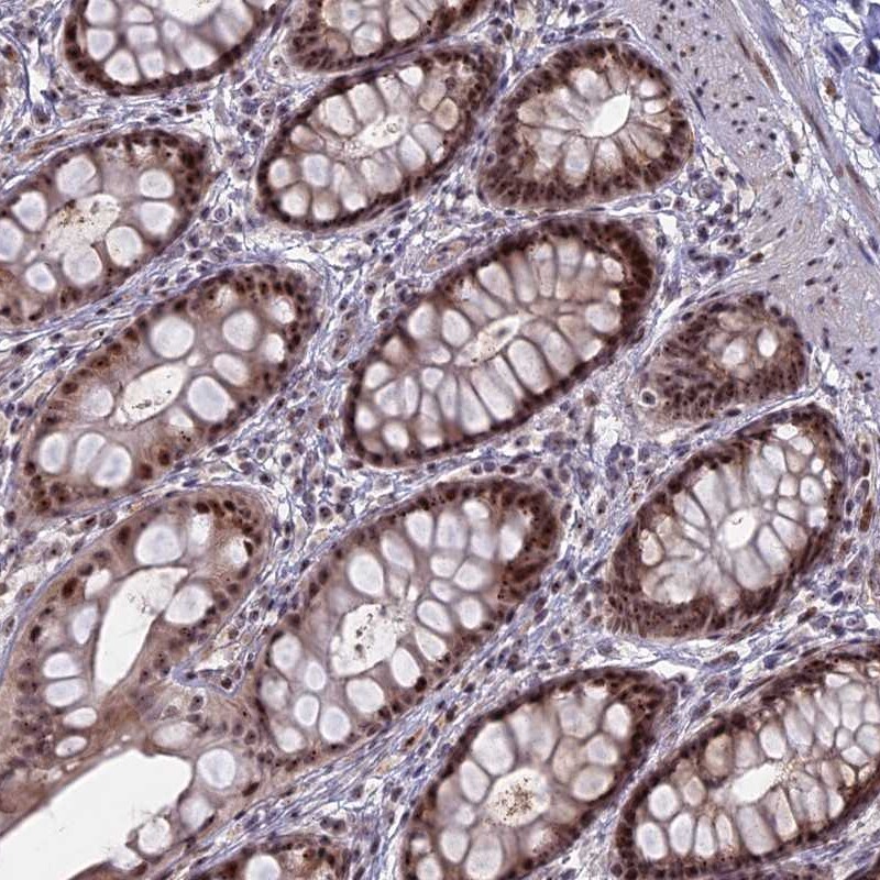
- Submitted by
- Invitrogen Antibodies (provider)
- Main image

- Experimental details
- Immunohistochemical analysis of FAM131A in human rectum using FAM131A Polyclonal Antibody (Product # PA5-60127) shows strong nucleolar positivity in glandular cells.