Antibody data
- Antibody Data
- Antigen structure
- References [2]
- Comments [0]
- Validations
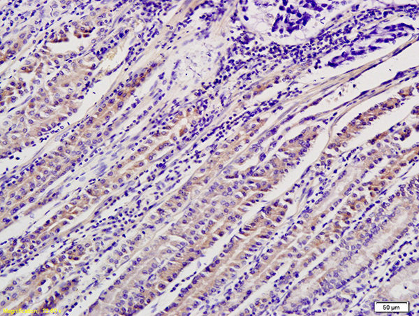
- Immunohistochemistry [2]
Submit
Validation data
Reference
Comment
Report error
- Product number
- ABIN682483 - Provider product page

- Provider
- antibodies-online
- Proper citation
- Antibodies-Online Cat#ABIN682483, RRID:AB_11208653
- Product name
- anti-Adrenomedullin 2 (ADM2) antibody
- Antibody type
- Polyclonal
- Description
- Purified by Protein A.
- Reactivity
- Human, Mouse, Rat
- Host
- Rabbit
- Isotype
- IgG
- Vial size
- 100 μL
- Storage
- Store at -20°C
Submitted references The human endolymphatic sac expresses natriuretic peptides.
Induction of adrenomedullin 2/intermedin expression by thyroid stimulating hormone in thyroid.
Møller MN, Kirkeby S, Vikeså J, Nielsen FC, Cayé-Thomasen P
The Laryngoscope 2017 Jun;127(6):E201-E208
The Laryngoscope 2017 Jun;127(6):E201-E208
Induction of adrenomedullin 2/intermedin expression by thyroid stimulating hormone in thyroid.
Nagasaki S, Fukui M, Asano S, Ono K, Miki Y, Araki S, Isobe M, Nakashima N, Takahashi K, Sasano H, Sato J
Molecular and cellular endocrinology 2014 Sep;395(1-2):32-40
Molecular and cellular endocrinology 2014 Sep;395(1-2):32-40
No comments: Submit comment
Supportive validation
- Submitted by
- antibodies-online (provider)
- Main image

- Experimental details
- IHC
- Submitted by
- antibodies-online (provider)
- Main image

- Experimental details
- IHC