Antibody data
- Antibody Data
- Antigen structure
- References [0]
- Comments [0]
- Validations
- Immunocytochemistry [1]
- Immunohistochemistry [1]
Submit
Validation data
Reference
Comment
Report error
- Product number
- PAB27519 - Provider product page

- Provider
- Abnova Corporation
- Product name
- SAC3D1 polyclonal antibody
- Antibody type
- Polyclonal
- Description
- Rabbit polyclonal antibody raised against recombinant SAC3D1.
- Antigen sequence
AFREGNAARLFRLLQTLPYLPSCAVQCHVGHARRE
ALARFARAFSTPKGQTLPLGFMVNLLALDGLREAR
DLCQAHGLPLDGEERVVFLRGRYVEEGLPPASTCK
VLVE- Isotype
- IgG
- Storage
- Store at 4°C. For long term storage store at -20°C.Aliquot to avoid repeated freezing and thawing.
No comments: Submit comment
Supportive validation
- Submitted by
- Abnova Corporation (provider)
- Main image

- Experimental details
- Immunofluorescent staining of human cell line U-2 OS with SAC3D1 polyclonal antibody (Cat # PAB27519) at 1-4 ug/mL dilution shows positivity in cytoplasm.
- Validation comment
- Immunofluorescence
Supportive validation
- Submitted by
- Abnova Corporation (provider)
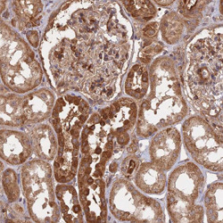
- Main image

- Experimental details
- Immunohistochemical staining of human kidney with SAC3D1 polyclonal antibody (Cat # PAB27519) shows strong cytoplasmic positivity in cells in tubules at 1:200-1:500 dilution.
- Validation comment
- Immunohistochemistry (Formalin/PFA-fixed paraffin-embedded sections)