Antibody data
- Antibody Data
- Antigen structure
- References [0]
- Comments [0]
- Validations
- Immunocytochemistry [1]
- Immunohistochemistry [5]
Submit
Validation data
Reference
Comment
Report error
- Product number
- PA5-58521 - Provider product page

- Provider
- Invitrogen Antibodies
- Product name
- TTC36 Polyclonal Antibody
- Antibody type
- Polyclonal
- Antigen
- Recombinant protein fragment
- Description
- Immunogen sequence: GTPNDQAVLQ AIFNPDTPFG DIVGLDLGEE AEKEEREEDE VFPQAQLEQS KALELQGVMA AEA Highest antigen sequence identity to the following orthologs: Mouse - 83%, Rat - 81%.
- Reactivity
- Human
- Host
- Rabbit
- Isotype
- IgG
- Vial size
- 100 μL
- Concentration
- 0.2 mg/mL
- Storage
- Store at 4°C short term. For long term storage, store at -20°C, avoiding freeze/thaw cycles.
No comments: Submit comment
Supportive validation
- Submitted by
- Invitrogen Antibodies (provider)
- Main image

- Experimental details
- Immunofluorescent staining of TTC36 in human cell line A-431 shows positivity in nucleus but excluded from the nucleoli. Samples were probed using a TTC36 Polyclonal Antibody (Product # PA5-58521).
Supportive validation
- Submitted by
- Invitrogen Antibodies (provider)
- Main image

- Experimental details
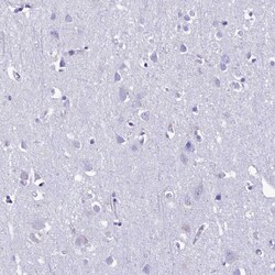
- Immunohistochemical analysis of TTC36 in human cerebral cortex using TTC36 Polyclonal Antibody (Product # PA5-58521) shows no positivity in neurons as expected.
- Submitted by
- Invitrogen Antibodies (provider)
- Main image

- Experimental details
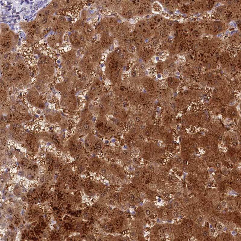
- Immunohistochemical staining of TTC36 in human liver and tonsil tissues using TTC36 Polyclonal Antibody (Product # PA5-58521). Corresponding TTC36 RNA-seq data are presented for the same tissues.
- Submitted by
- Invitrogen Antibodies (provider)
- Main image

- Experimental details
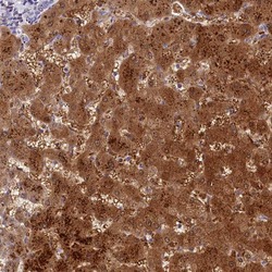
- Immunohistochemical analysis of TTC36 in human liver using TTC36 Polyclonal Antibody (Product # PA5-58521) shows strong cytoplasmic positivity in hepatocytes.
- Submitted by
- Invitrogen Antibodies (provider)
- Main image

- Experimental details
- Immunohistochemical analysis of TTC36 in human skeletal muscle using TTC36 Polyclonal Antibody (Product # PA5-58521) shows no positivity in myocytes as expected.
- Submitted by
- Invitrogen Antibodies (provider)
- Main image

- Experimental details
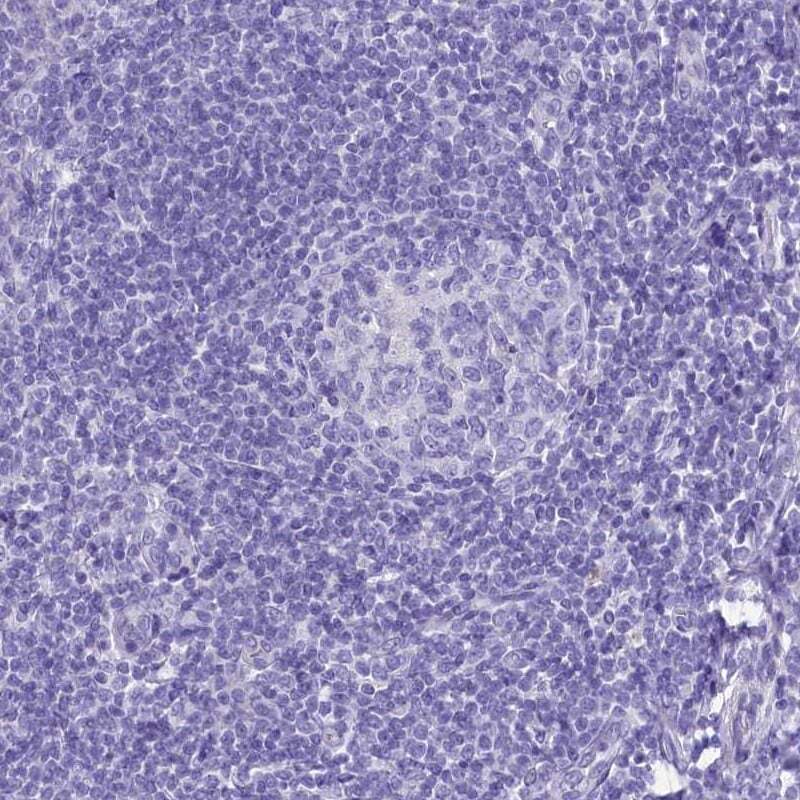
- Immunohistochemical staining of TTC36 in human tonsil using TTC36 Polyclonal Antibody (Product # PA5-58521) shows low expression as expected.