Antibody data
- Antibody Data
- Antigen structure
- References [0]
- Comments [0]
- Validations
- Western blot [1]
- Immunohistochemistry [1]
- Flow cytometry [1]
Submit
Validation data
Reference
Comment
Report error
- Product number
- AP54691PU-N - Provider product page

- Provider
- OriGene
- Product name
- ZNF324B (C-term) rabbit polyclonal antibody, Aff - Purified
- Antibody type
- Polyclonal
- Description
- ZNF324B (C-term) rabbit polyclonal antibody, Aff - Purified
- Host
- Rabbit
- Conjugate
- Unconjugated
- Epitope
- ZNF324B
- Antibody clone number
- NULL
- Vial size
- 400 µl
- Concentration
- lot specific
No comments: Submit comment
Supportive validation
- Submitted by
- OriGene (provider)
- Main image

- Experimental details
- ZNF324B Antibody (C-term) western blot analysis in A549 cell line lysates (35 ug/lane). This demonstrates the ZNF324B antibody detected the ZNF324B protein (arrow).
- Validation comment
- WB
Supportive validation
- Submitted by
- OriGene (provider)
- Main image

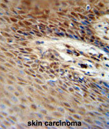
- Experimental details
- ZNF324B antibody (C-term) immunohistochemistry analysis in formalin fixed and paraffin embedded human skin carcinoma followed by peroxidase conjugation of the secondary antibody and DAB staining. This data demonstrates the use of the ZNF324B antibody (C-term) for immunohistochemistry. Clinical relevance has not been evaluated.
- Validation comment
- IHC
Supportive validation
- Submitted by
- OriGene (provider)
- Main image

- Experimental details
- ZNF324B Antibody (C-term) flow cytometric analysis of A549 cells (right histogram) compared to a negative control cell (left histogram). FITC-conjugated goat-anti-rabbit secondary antibodies were used for the analysis.
- Validation comment
- FC