Antibody data
- Antibody Data
- Antigen structure
- References [0]
- Comments [0]
- Validations
- Western blot [1]
- Immunohistochemistry [1]
Submit
Validation data
Reference
Comment
Report error
- Product number
- AP53023PU-N - Provider product page

- Provider
- OriGene
- Product name
- OR1J4 (C-term) rabbit polyclonal antibody, Aff - Purified
- Antibody type
- Polyclonal
- Description
- OR1J4 (C-term) rabbit polyclonal antibody, Aff - Purified
- Host
- Rabbit
- Conjugate
- Unconjugated
- Epitope
- OR1J4
- Antibody clone number
- NULL
- Vial size
- 400 µl
- Concentration
- lot specific
No comments: Submit comment
Supportive validation
- Submitted by
- OriGene (provider)
- Main image

- Experimental details
- Western blot analysis of OR1J4 Antibody (C-term) ??in HL-60 cell line lysates (35ug/lane). This demonstrates the OR1J4 antibody detected the OR1J4 protein (arrow).
- Validation comment
- WB
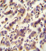
Supportive validation
- Submitted by
- OriGene (provider)
- Main image

- Experimental details
- Immunohistochemistry analysis in formalin fixed and paraffin embedded human testis carcinoma reacted with OR1J4 Antibody (C-term) ?, which was?peroxidase conjugated to the secondary antibody and followed by?DAB staining. This data demonstrates the use of the OR1J4 antibody (C-term) for immunohistochemistry. Clinical relevance has not been evaluated.
- Validation comment
- IHC