Antibody data
- Antibody Data
- Antigen structure
- References [0]
- Comments [0]
- Validations
- Immunohistochemistry [1]
- Flow cytometry [2]
Submit
Validation data
Reference
Comment
Report error
- Product number
- BS-2946R - Provider product page

- Provider
- Invitrogen Antibodies
- Product name
- HAS1 Polyclonal Antibody
- Antibody type
- Polyclonal
- Antigen
- Synthetic peptide
- Reactivity
- Human, Mouse, Rat
- Host
- Rabbit
- Isotype
- IgG
- Vial size
- 100 µL
- Concentration
- 1 mg/mL
- Storage
- -20°C
No comments: Submit comment
Supportive validation
- Submitted by
- Invitrogen Antibodies (provider)
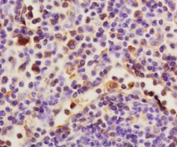
- Main image

- Experimental details
- Formalin-fixed and paraffin embedded rat spleen labeled with Anti-HAS1 Polyclonal Antibody, Unconjugated (bs-2946R) at 1:200 followed by conjugation to the secondary antibody and DAB staining.
Supportive validation
- Submitted by
- Invitrogen Antibodies (provider)
- Main image

- Experimental details
- U-87MG (Positive) and A431 (Negative control) cells (black) were incubated in 5% BSA blocking buffer for 30 min at room temperature. Cells were then stained with HAS1 Antibody (bs-2946R) at 1:50 dilution in blocking buffer and incubated for 30 min at room temperature, washed twice with 2% BSA in PBS, followed by secondary antibody(blue) incubation for 40 min at room temperature. Acquisitions of 20,000 events were performed. Cells stained with primary antibody (green), and isotype control (orange)..
- Submitted by
- Invitrogen Antibodies (provider)
- Main image

- Experimental details
- U-87MG (Positive) and A431 (Negative control) cells (black) were incubated in 5% BSA blocking buffer for 30 min at room temperature. Cells were then stained with HAS1 Antibody (bs-2946R) at 1:50 dilution in blocking buffer and incubated for 30 min at room temperature, washed twice with 2% BSA in PBS, followed by secondary antibody(blue) incubation for 40 min at room temperature. Acquisitions of 20,000 events were performed. Cells stained with primary antibody (green), and isotype control (orange)..