Antibody data
- Antibody Data
- Antigen structure
- References [0]
- Comments [0]
- Validations
- Immunohistochemistry [2]
Submit
Validation data
Reference
Comment
Report error
- Product number
- PA5-50645 - Provider product page

- Provider
- Invitrogen Antibodies
- Product name
- CSMD1 Polyclonal Antibody
- Antibody type
- Polyclonal
- Antigen
- Synthetic peptide
- Description
- The antibody detects endogenous levels of total CSMD1 protein.
- Reactivity
- Human, Mouse
- Host
- Rabbit
- Isotype
- IgG
- Vial size
- 100 μL
- Concentration
- 3 mg/mL
- Storage
- -20°C
No comments: Submit comment
Supportive validation
- Submitted by
- Invitrogen Antibodies (provider)
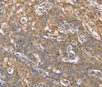
- Main image

- Experimental details
- Immunohistochemical analysis of CSMD1 in paraffin embedded Human gastric cancer tissue using CSMD1 Polyclonal Antibody (Product # PA5-50645) at a 1:40 dilution.
- Submitted by
- Invitrogen Antibodies (provider)
- Main image

- Experimental details
- Immunohistochemical analysis of CSMD1 in paraffin embedded Human thyroid cancer tissue using CSMD1 Polyclonal Antibody (Product # PA5-50645) at a 1:40 dilution.