Antibody data
- Antibody Data
- Antigen structure
- References [0]
- Comments [0]
- Validations
- Western blot [1]
- Immunohistochemistry [1]
Submit
Validation data
Reference
Comment
Report error
- Product number
- LS-C168394 - Provider product page

- Provider
- LSBio
- Product name
- CCDC122 Antibody (aa203-231) LS-C168394
- Antibody type
- Polyclonal
- Description
- Protein A purified
- Reactivity
- Human
- Host
- Rabbit
- Storage
- Maintain refrigerated at 2°C to 8°C for up to 6 months. For long term storage store at -20°C.
No comments: Submit comment
Enhanced validation
- Submitted by
- LSBio (provider)
- Enhanced method
- Genetic validation
- Main image

- Experimental details
- CCDC122 Antibody western blot of CEM cell line lysates (35 ug/lane). The CCDC122 antibody detected the CCDC122 protein (arrow).
Supportive validation
- Submitted by
- LSBio (provider)
- Enhanced method
- Genetic validation
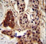
- Main image

- Experimental details
- CCDC122 antibody immunohistochemistry of formalin-fixed and paraffin-embedded human bladder carcinoma followed by peroxidase-conjugated secondary antibody and DAB staining.