PA5-83939
antibody from Invitrogen Antibodies
Targeting: CYP21A2
CA21H, CAH1, CPS1, CYP21, CYP21B, P450c21B
Antibody data
- Antibody Data
- Antigen structure
- References [0]
- Comments [0]
- Validations
- Immunohistochemistry [4]
Submit
Validation data
Reference
Comment
Report error
- Product number
- PA5-83939 - Provider product page

- Provider
- Invitrogen Antibodies
- Product name
- CYP21A2 Polyclonal Antibody
- Antibody type
- Polyclonal
- Antigen
- Recombinant protein fragment
- Description
- Immunogen sequence: GLTQKFGPIY RLHLGLQDVV VLNSKRTIEE AMVKKWADFA GRPEPLTYKL VSRNYPDLSL GDYSLLW
- Reactivity
- Human
- Host
- Rabbit
- Isotype
- IgG
- Vial size
- 100 μL
- Concentration
- 0.2 mg/mL
- Storage
- Store at 4°C short term. For long term storage, store at -20°C, avoiding freeze/thaw cycles.
No comments: Submit comment
Supportive validation
- Submitted by
- Invitrogen Antibodies (provider)
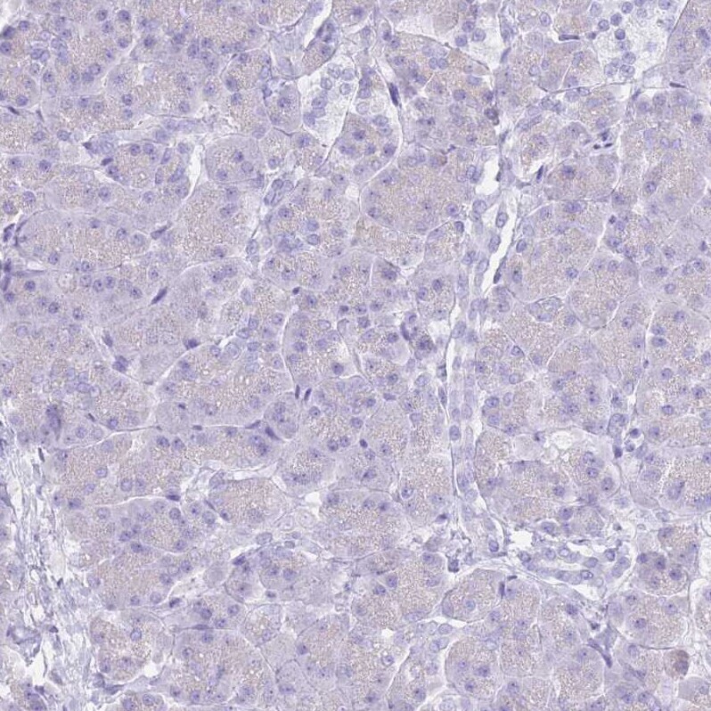
- Main image

- Experimental details
- Immunohistochemical analysis of CYP21A2 in human pancreas using CYP21A2 Polyclonal Antibody (Product # PA5-83939) shows no positivity in exocrine glandular cells as expected.
- Submitted by
- Invitrogen Antibodies (provider)
- Main image

- Experimental details
- Immunohistochemical analysis of CYP21A2 in human testis using CYP21A2 Polyclonal Antibody (Product # PA5-83939) shows no positivity in cells in seminiferous ducts as expected.
- Submitted by
- Invitrogen Antibodies (provider)
- Main image

- Experimental details
- Immunohistochemical analysis of CYP21A2 in human kidney using CYP21A2 Polyclonal Antibody (Product # PA5-83939) shows no positivity in cells in tubules as expected.
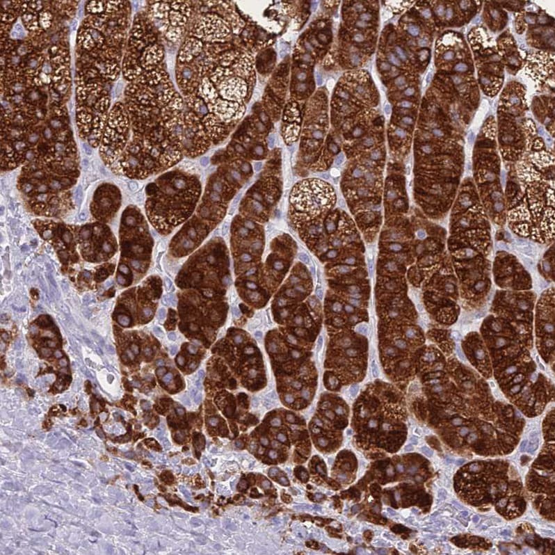
- Submitted by
- Invitrogen Antibodies (provider)
- Main image

- Experimental details
- Immunohistochemical analysis of CYP21A2 in human adrenal gland using CYP21A2 Polyclonal Antibody (Product # PA5-83939) shows strong cytoplasmic positivity in glandular cells in adrenal cortex.