Antibody data
- Antibody Data
- Antigen structure
- References [0]
- Comments [0]
- Validations
- Immunocytochemistry [1]
- Immunohistochemistry [1]
Submit
Validation data
Reference
Comment
Report error
- Product number
- PAB17617 - Provider product page

- Provider
- Abnova Corporation
- Proper citation
- Abnova Corporation Cat#PAB17617, RRID:AB_10643049
- Product name
- ATP5G3 polyclonal antibody
- Antibody type
- Polyclonal
- Description
- Rabbit polyclonal antibody raised against synthetic peptide of ATP5G3.
- Storage
- Store at -20°C.Aliquot to avoid repeated freezing and thawing.
No comments: Submit comment
Supportive validation
- Submitted by
- Abnova Corporation (provider)
- Main image

- Experimental details
- Immunofluorescence analysis of A-549 cells, using ATP5G3 polyclonal antibody (Cat # PAB17617).Peptide "+" means "with peptide blocking".
- Validation comment
- Immunofluorescence
Supportive validation
- Submitted by
- Abnova Corporation (provider)
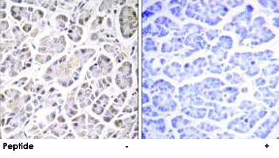
- Main image

- Experimental details
- Immunohistochemistry analysis of paraffin-embedded human pancreas tissue using ATP5G3 polyclonal antibody (Cat # PAB17617).Peptide "+" means "with peptide blocking".
- Validation comment
- Immunohistochemistry (Formalin/PFA-fixed paraffin-embedded sections)