Antibody data
- Antibody Data
- Antigen structure
- References [0]
- Comments [0]
- Validations
- Western blot [1]
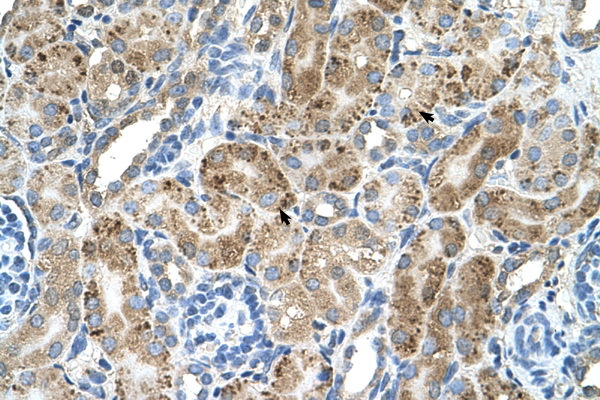
- Immunohistochemistry [1]
Submit
Validation data
Reference
Comment
Report error
- Product number
- LS-C446935 - Provider product page

- Provider
- LSBio
- Product name
- VMA21 / XMEA Antibody (N-Terminus, FITC) LS-C446935
- Antibody type
- Polyclonal
- Description
- Protein A purified
- Reactivity
- Human, Canine
- Host
- Rabbit
- Conjugate
- Green dye
- Isotype
- IgG
- Storage
- Short term: store at 4°C. Long term: add glycerol to 40-50%, aliquot to avoid freeze-thaw cycles, and store at -20°C. Protect from light.
No comments: Submit comment
Enhanced validation
- Submitted by
- LSBio (provider)
- Enhanced method
- Genetic validation
- Main image

- Experimental details
- VMA21 antibody ARP44721_T100-NP_001017980-LOC203547(hypothetical protein LOC203547) Antibody Western blot of HepG2 cell lysate. This image was taken for the unconjugated form of this product. Other forms have not been tested.
Supportive validation
- Submitted by
- LSBio (provider)
- Enhanced method
- Genetic validation
- Main image

- Experimental details
- VMA21 antibody ARP44721_T100-NP_001017980-LOC203547(hypothetical protein LOC203547) Antibody IHC of formalin-fixed, paraffin-embedded human Kidney. Positive label: Epithelial cells of renal tubule indicated with arrows. Antibody concentration 4-8 ug/ml. Magnification 400X. This image was taken for the unconjugated form of this product. Other forms have not been tested.