PA5-25853
antibody from Invitrogen Antibodies
Targeting: SHISA2
bA398O19.2, C13orf13, hShisa, PRO28631, TMEM46, WGAR9166
Antibody data
- Antibody Data
- Antigen structure
- References [0]
- Comments [0]
- Validations
- Immunohistochemistry [1]
Submit
Validation data
Reference
Comment
Report error
- Product number
- PA5-25853 - Provider product page

- Provider
- Invitrogen Antibodies
- Product name
- Anti-SHISA2 Polyclonal Antibody
- Antibody type
- Polyclonal
- Antigen
- Synthetic peptide
- Reactivity
- Human, Mouse
- Host
- Rabbit
- Isotype
- IgG
- Vial size
- 400 µL
- Concentration
- Lot Dependent
- Storage
- -20° C, Avoid Freeze/Thaw Cycles
No comments: Submit comment
Supportive validation
- Submitted by
- Invitrogen Antibodies (provider)
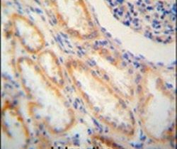
- Main image

- Experimental details
- Immunohistochemistry analysis in formalin-fixed, paraffin-embedded human kidney tissue using a SHISA2 polyclonal antibody (Product # PA5-25853), followed by HRP-conjugated secondary antibody and DAB staining.