Antibody data
- Antibody Data
- Antigen structure
- References [0]
- Comments [0]
- Validations
- Immunocytochemistry [2]
- Immunohistochemistry [1]
Submit
Validation data
Reference
Comment
Report error
- Product number
- PA5-60205 - Provider product page

- Provider
- Invitrogen Antibodies
- Product name
- C19orf22 Polyclonal Antibody
- Antibody type
- Polyclonal
- Antigen
- Recombinant protein fragment
- Description
- Immunogen sequence: CNNATYVEVW NDFMNRSGEE QERVLRYLED EGRSKARRRG PGRGEDRRRE DPAYTPRECF QRISRRLRAV LKRSRIPMET LETW Highest antigen sequence identity to the following orthologs: Mouse - 87%, Rat - 86%.
- Reactivity
- Human
- Host
- Rabbit
- Isotype
- IgG
- Vial size
- 100 μL
- Concentration
- 0.7 mg/mL
- Storage
- Store at 4°C short term. For long term storage, store at -20°C, avoiding freeze/thaw cycles.
No comments: Submit comment
Supportive validation
- Submitted by
- Invitrogen Antibodies (provider)
- Main image

- Experimental details
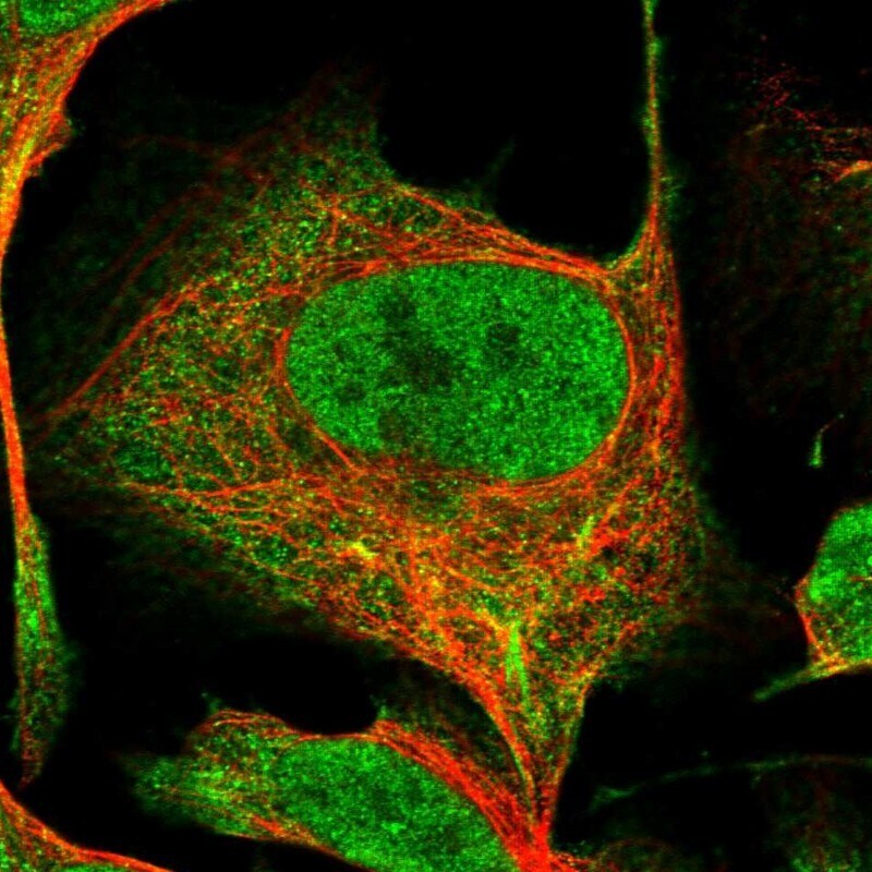
- Immunofluorescent staining of C19orf22 in human cell line U-2 OS shows positivity in nucleus & cytoplasm. Samples were probed using a C19orf22 Polyclonal Antibody (Product # PA5-60205).
- Submitted by
- Invitrogen Antibodies (provider)
- Main image

- Experimental details
- Immunofluorecent analysis of C19orf22 in human cell line U-2 OS using C19orf22 Polyclonal Antibody (Product # PA5-60205). Staining shows localization to nucleus and cytosol.
Supportive validation
- Submitted by
- Invitrogen Antibodies (provider)
- Main image

- Experimental details
- Immunohistochemical analysis of C19orf22 in human caudate using C19orf22 Polyclonal Antibody (Product # PA5-60205) shows distinct positivity in astrocytes.