Antibody data
- Antibody Data
- Antigen structure
- References [1]
- Comments [0]
- Validations
- Immunohistochemistry [2]
Submit
Validation data
Reference
Comment
Report error
- Product number
- TA321988 - Provider product page

- Provider
- OriGene
- Product name
- Anti-STRA8 Rabbit Polyclonal Antibody
- Antibody type
- Polyclonal
- Description
- Anti-STRA8 Rabbit Polyclonal Antibody
- Host
- Rabbit
- Conjugate
- Unconjugated
- Epitope
- STRA8
- Isotype
- IgG
- Antibody clone number
- NULL
- Vial size
- 100 µl
- Concentration
- 1mg/ml
Submitted references Human GV oocytes generated by mitotically active germ cells obtained from follicular aspirates.
Ding X, Liu G, Xu B, Wu C, Hui N, Ni X, Wang J, Du M, Teng X, Wu J
Scientific reports 2016 Jun 30;6:28218
Scientific reports 2016 Jun 30;6:28218
No comments: Submit comment
Supportive validation
- Submitted by
- OriGene (provider)
- Main image

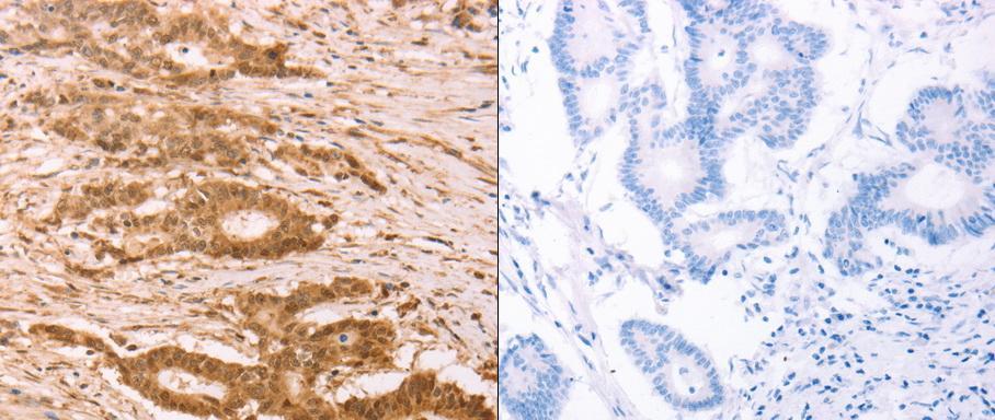
- Experimental details
- Predicted cell location: Cytoplasm,Nucleus. Positive control: Human colon and lung cancer tissue. Recommended dilution: 1/25-100 The image on the left is immunohistochemistry of paraffin-embedded human colon cancer tissue using STRA8 antibody at dilution 1/25, on the right is treated with the synthetic peptide. (Original magnification:x 200)
- Validation comment
- IHC
- Submitted by
- OriGene (provider)
- Main image

- Experimental details
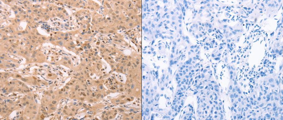
- Predicted cell location: Cytoplasm,Nucleus. Positive control: Human colon and lung cancer tissue. Recommended dilution: 1/25-100 The image on the left is immunohistochemistry of paraffin-embedded human lung cancer tissue using STRA8 antibody at dilution 1/25, on the right is treated with the synthetic peptide. (Original magnification:x200)
- Validation comment
- IHC