Antibody data
- Antibody Data
- Antigen structure
- References [0]
- Comments [0]
- Validations
- Western blot [1]
- Immunohistochemistry [1]
- Flow cytometry [1]
Submit
Validation data
Reference
Comment
Report error
- Product number
- AP54561PU-N - Provider product page

- Provider
- Acris Antibodies GmbH
- Proper citation
- Acris Antibodies GmbH Cat#AP54561PU-N, RRID:AB_11147713
- Product name
- anti WFDC12 / WAP2 (C-term)
- Antibody type
- Polyclonal
- Antigen
- KLH conjugated synthetic peptide between 73-102 amino acids from the C-terminal region of human WFDC12
- Reactivity
- Human
- Host
- Rabbit
- Vial size
- 0.4 ml
- Concentration
- lot specific
No comments: Submit comment
Supportive validation
- Submitted by
- Acris Antibodies GmbH (provider)
- Main image

- Experimental details
- WFDC12 Antibody (C-term) (AP54561PU-N) western blot analysis in A549 cell line lysates (35 µg/lane). This demonstrates the WFDC12 antibody detected the WFDC12 protein (arrow).
Supportive validation
- Submitted by
- Acris Antibodies GmbH (provider)
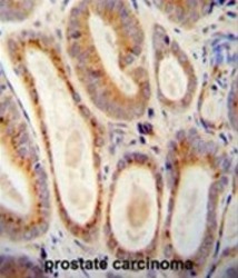
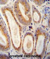
- Main image

- Experimental details
- WFDC12 antibody (C-term) (AP54561PU-N) immunohistochemistry analysis in formalin fixed and paraffin embedded human prostate carcinoma followed by peroxidase conjugation of the secondary antibody and DAB staining. This data demonstrates the use of the WFDC12 antibody (C-term) for immunohistochemistry. Clinical relevance has not been evaluated.
Supportive validation
- Submitted by
- Acris Antibodies GmbH (provider)
- Main image

- Experimental details
- WFDC12 Antibody (C-term) (AP54561PU-N ) flow cytometric analysis of A549 cells (right histogram) compared to a negative control cell (left histogram). FITC-conjugated goat-anti-rabbit secondary antibodies were used for the analysis.