Antibody data
- Antibody Data
- Antigen structure
- References [2]
- Comments [0]
- Validations
- Western blot [1]
- Immunohistochemistry [1]
- Flow cytometry [1]
Submit
Validation data
Reference
Comment
Report error
- Product number
- ABIN955573 - Provider product page

- Provider
- antibodies-online
- Product name
- anti-WAP Four-Disulfide Core Domain 12 (WFDC12) (AA 73-102), (C-Term) antibody
- Antibody type
- Polyclonal
- Description
- Protein A column followed by peptide affinity purification
- Reactivity
- Human
- Host
- Rabbit
- Epitope
- AA 73-102, C-Term
- Vial size
- 0.4 mL
- Storage
- Store at 2 - 8°C for up to six months or (in aliquots) at -20°C for longer.
- Handling
- Avoid repeated freezing and thawing.
Submitted references The evolution of a genetic locus encoding small serine proteinase inhibitors.
The secreted protein discovery initiative (SPDI), a large-scale effort to identify novel human secreted and transmembrane proteins: a bioinformatics assessment.
Clauss A, Lilja H, Lundwall A
Biochemical and biophysical research communications 2005 Jul 29;333(2):383-9
Biochemical and biophysical research communications 2005 Jul 29;333(2):383-9
The secreted protein discovery initiative (SPDI), a large-scale effort to identify novel human secreted and transmembrane proteins: a bioinformatics assessment.
Clark HF, Gurney AL, Abaya E, Baker K, Baldwin D, Brush J, Chen J, Chow B, Chui C, Crowley C, Currell B, Deuel B, Dowd P, Eaton D, Foster J, Grimaldi C, Gu Q, Hass PE, Heldens S, Huang A, Kim HS, Klimowski L, Jin Y, Johnson S, Lee J, Lewis L, Liao D, Mark M, Robbie E, Sanchez C, Schoenfeld J, Seshagiri S, Simmons L, Singh J, Smith V, Stinson J, Vagts A, Vandlen R, Watanabe C, Wieand D, Woods K, Xie MH, Yansura D, Yi S, Yu G, Yuan J, Zhang M, Zhang Z, Goddard A, Wood WI, Godowski P, Gray A
Genome research 2003 Oct;13(10):2265-70
Genome research 2003 Oct;13(10):2265-70
No comments: Submit comment
Supportive validation
- Submitted by
- antibodies-online (provider)
- Main image

- Experimental details
- WB
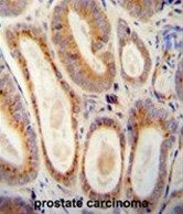
Supportive validation
- Submitted by
- antibodies-online (provider)
- Main image

- Experimental details
- IHC
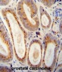
Supportive validation
- Submitted by
- antibodies-online (provider)
- Main image

- Experimental details
- FACS