Antibody data
- Antibody Data
- Antigen structure
- References [0]
- Comments [0]
- Validations
- Immunocytochemistry [3]
- Immunohistochemistry [6]
Submit
Validation data
Reference
Comment
Report error
- Product number
- PA5-62352 - Provider product page

- Provider
- Invitrogen Antibodies
- Product name
- SPC24 Polyclonal Antibody
- Antibody type
- Polyclonal
- Antigen
- Recombinant protein fragment
- Description
- Immunogen sequence: ERQEKEVDED TTVTIPSAVY VAQLYHQVSK IEWDYECEPG MVKGIHHGPS VAQPIHLDST QLSRKFISDY LWSLV Highest antigen sequence identity to the following orthologs: Mouse - 85%, Rat - 91%.
- Reactivity
- Human
- Host
- Rabbit
- Isotype
- IgG
- Vial size
- 100 μL
- Concentration
- 0.1 mg/mL
- Storage
- Store at 4°C short term. For long term storage, store at -20°C, avoiding freeze/thaw cycles.
No comments: Submit comment
Supportive validation
- Submitted by
- Invitrogen Antibodies (provider)
- Main image

- Experimental details
- Immunofluorescent staining of SPC24 in human cell line MCF7 shows positivity in nucleus & nucleoli. Samples were probed using a SPC24 Polyclonal Antibody (Product # PA5-62352).
- Submitted by
- Invitrogen Antibodies (provider)
- Main image

- Experimental details
- Immunofluorescent staining of SPC24 in human cell line MCF7 using SPC24 Polyclonal Antibody (Product # PA5-62352) shows localization to nucleus & nucleoli.
- Submitted by
- Invitrogen Antibodies (provider)
- Main image

- Experimental details
- Immunofluorescent staining of SPC24 in human cell line MCF7 using SPC24 Polyclonal Antibody (Product # PA5-62352) shows localization to nucleus & nucleoli.
Supportive validation
- Submitted by
- Invitrogen Antibodies (provider)
- Main image

- Experimental details
- Immunohistochemical analysis of SPC24 in human fallopian tube using SPC24 Polyclonal Antibody (Product # PA5-62352) shows weak nuclear positivity in glandular cells.
- Submitted by
- Invitrogen Antibodies (provider)
- Main image

- Experimental details
- Immunohistochemical analysis of SPC24 in human kidney using SPC24 Polyclonal Antibody (Product # PA5-62352) shows negative nuclear positivity in cells in tubules and cells in glomeruli as expected.
- Submitted by
- Invitrogen Antibodies (provider)
- Main image

- Experimental details
- Immunohistochemical analysis of SPC24 in human lymph node using SPC24 Polyclonal Antibody (Product # PA5-62352) shows moderate nuclear positivity in germinal center cells.
- Submitted by
- Invitrogen Antibodies (provider)
- Main image

- Experimental details
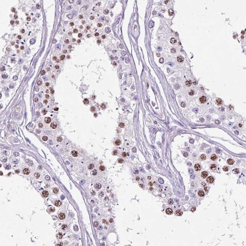
- Immunohistochemical analysis of SPC24 in human testis using SPC24 Polyclonal Antibody (Product # PA5-62352) shows strong nuclear positivity in cells in seminiferous ducts.
- Submitted by
- Invitrogen Antibodies (provider)
- Main image

- Experimental details
- Immunohistochemical analysis of SPC24 in human fallopian tube using SPC24 Polyclonal Antibody (Product # PA5-62352) shows weak nuclear positivity in glandular cells.
- Submitted by
- Invitrogen Antibodies (provider)
- Main image

- Experimental details
- Immunohistochemical analysis of SPC24 in human testis using SPC24 Polyclonal Antibody (Product # PA5-62352) shows strong nuclear positivity in cells in seminiferous ducts.