Antibody data
- Antibody Data
- Antigen structure
- References [0]
- Comments [0]
- Validations
- Immunocytochemistry [1]
- Immunohistochemistry [1]
Submit
Validation data
Reference
Comment
Report error
- Product number
- PAB29478 - Provider product page

- Provider
- Abnova Corporation
- Product name
- AIG1 polyclonal antibody
- Antibody type
- Polyclonal
- Description
- AIG1 polyclonal antibody raised against recombinant human AIG1.
- Antigen sequence
AIEMPSHQTYGGSWKFLTFID- Isotype
- IgG
- Storage
- Store at 4°C. For long term storage store at -20°C.Aliquot to avoid repeated freezing and thawing.
No comments: Submit comment
Supportive validation
- Submitted by
- Abnova Corporation (provider)
- Main image

- Experimental details
- Immunofluorescent staining of MCF-7 cells with AIG1 polyclonal antibody (Cat# PAB29478) under 1-4 ug/mL working concentration shows positivity in the Golgi apparatus. Antibody staining is shown in green.
- Validation comment
- Immunofluorescence
Supportive validation
- Submitted by
- Abnova Corporation (provider)
- Main image

- Experimental details
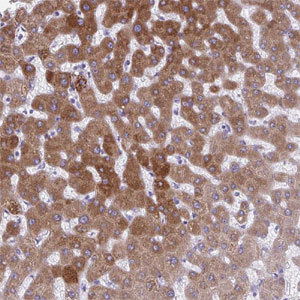
- Immunohistochemical staining (Formalin-fixed paraffin-embedded sections) of human liver with AIG1 polyclonal antibody (Cat# PAB29478) shows strong cytoplasmic positivity in hepatocytes at 1:20 - 1:50 dilution.
- Validation comment
- Immunohistochemistry (Formalin/PFA-fixed paraffin-embedded sections)