Antibody data
- Antibody Data
- Antigen structure
- References [1]
- Comments [0]
- Validations
- Western blot [2]
- Immunocytochemistry [1]
- Immunohistochemistry [3]
- Flow cytometry [1]
Submit
Validation data
Reference
Comment
Report error
- Product number
- TA500956 - Provider product page

- Provider
- OriGene
- Proper citation
- OriGene Cat#TA500956, RRID:AB_11129000
- Product name
- Anti-NPR3 (Natriuretic Peptide Receptor C) mouse monoclonal antibody, clone OTI2G2 (formerly 2G2)
- Antibody type
- Monoclonal
- Description
- Anti-NPR3 (Natriuretic Peptide Receptor C) mouse monoclonal antibody, clone OTI2G2 (formerly 2G2)
- Host
- Mouse
- Conjugate
- Unconjugated
- Epitope
- NPR3
- Isotype
- IgG
- Antibody clone number
- OTI2G2
- Vial size
- 100 µl
- Concentration
- 1 mg/ml
Submitted references Natriuretic peptide receptor-3 gene (NPR3): nonsynonymous polymorphism results in significant reduction in protein expression because of accelerated degradation.
Pereira NL, Lin D, Pelleymounter L, Moon I, Stilling G, Eckloff BW, Wieben ED, Redfield MM, Burnett JC Jr, Yee VC, Weinshilboum RM
Circulation. Cardiovascular genetics 2013 Apr;6(2):201-10
Circulation. Cardiovascular genetics 2013 Apr;6(2):201-10
No comments: Submit comment
Supportive validation
- Submitted by
- OriGene (provider)
- Main image

- Experimental details
- HEK293T cells were transfected with the pCMV6-ENTRY control (Left lane) or pCMV6-ENTRY NPR3 (RC219453, Right lane) cDNA for 48 hrs and lysed. Equivalent amounts of cell lysates (5 ug per lane) were separated by SDS-PAGE and immunoblotted with anti-NPR3.
- Validation comment
- WB
- Submitted by
- OriGene (provider)
- Main image

- Experimental details
- Figure from citation: Western Blot of NPR3 protein level by using anti-NPR3 antibody in HEK293 cells. Dilution: 1:1000
- Validation comment
- WB
Supportive validation
- Submitted by
- OriGene (provider)
- Main image

- Experimental details
- Anti-NPR3 mouse monoclonal antibody (TA500956) immunofluorescent staining of COS7 cells transiently transfected by pCMV6-ENTRY NPR3(RC219453).
- Validation comment
- IF
Supportive validation
- Submitted by
- OriGene (provider)
- Main image

- Experimental details
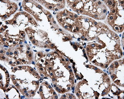
- Immunohistochemical staining of paraffin-embedded Kidney tissue within the normal limits using anti-NPR3mouse monoclonal antibody. (Heat-induced epitope retrieval by 10mM citric buffer, pH6.0, 100C for 10min, TA500956, Dilution 1:50)
- Validation comment
- IHC
- Submitted by
- OriGene (provider)
- Main image

- Experimental details
- Immunohistochemical staining of paraffin-embedded liver tissue within the normal limits using anti-NPR3mouse monoclonal antibody. (Heat-induced epitope retrieval by 10mM citric buffer, pH6.0, 100C for 10min, TA500956, Dilution 1:50)
- Validation comment
- IHC
- Submitted by
- OriGene (provider)
- Main image

- Experimental details
- Immunohistochemical staining of paraffin-embedded Adenocarcinoma of ovary tissue using anti-NPR3mouse monoclonal antibody. (Heat-induced epitope retrieval by 10mM citric buffer, pH6.0, 100C for 10min, TA500956, Dilution 1:50)
- Validation comment
- IHC
Supportive validation
- Submitted by
- OriGene (provider)
- Main image

- Experimental details
- HEK293T cells transfected with either pCMV6-ENTRY NPR3(RC219453)(Red) or empty vector control plasmid(Blue) were immunostained with anti-NPR3 mouse monoclonal(TA500956), and then analyzed by flow cytometry.
- Validation comment
- FC