Antibody data
- Antibody Data
- Antigen structure
- References [0]
- Comments [0]
- Validations
- Immunocytochemistry [1]
- Immunohistochemistry [3]
Submit
Validation data
Reference
Comment
Report error
- Product number
- PA5-63765 - Provider product page

- Provider
- Invitrogen Antibodies
- Product name
- HHIPL2 Polyclonal Antibody
- Antibody type
- Polyclonal
- Antigen
- Recombinant protein fragment
- Description
- Immunogen sequence: LCSDYCSAFH SNCHSAISLL TNDRGLQESH GRDGTRFCHL LDLPDKDYCF PNVLRNDYLN RHLGMVAQDP QGC Highest antigen sequence identity to the following orthologs: Mouse - 85%, Rat - 86%.
- Reactivity
- Human
- Host
- Rabbit
- Isotype
- IgG
- Vial size
- 100 μL
- Concentration
- 0.1 mg/mL
- Storage
- Store at 4°C short term. For long term storage, store at -20°C, avoiding freeze/thaw cycles.
No comments: Submit comment
Supportive validation
- Submitted by
- Invitrogen Antibodies (provider)
- Main image

- Experimental details
- Immunofluorescent staining of HHIPL2 in human cell line RH-30 shows positivity in cytoplasm & mitochondria. Samples were probed using a HHIPL2 Polyclonal Antibody (Product # PA5-63765).
Supportive validation
- Submitted by
- Invitrogen Antibodies (provider)
- Main image

- Experimental details
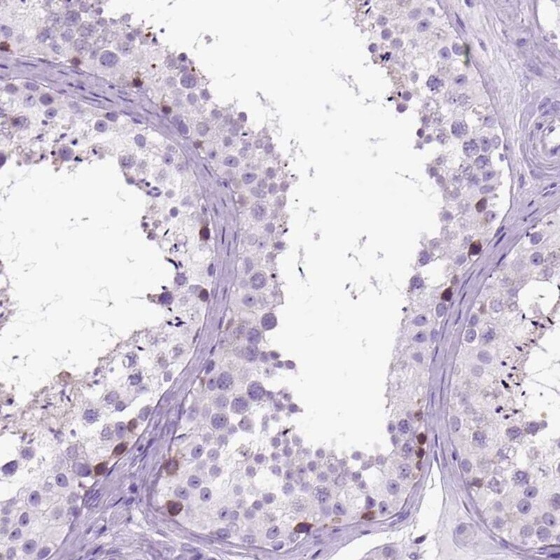
- Immunohistochemical analysis of HHIPL2 in human testis using HHIPL2 Polyclonal Antibody (Product # PA5-63765) shows high expression.
- Submitted by
- Invitrogen Antibodies (provider)
- Main image

- Experimental details
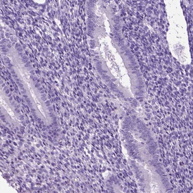
- Immunohistochemical staining of HHIPL2 in human endometrium using HHIPL2 Polyclonal Antibody (Product # PA5-63765) shows low expression as expected.
- Submitted by
- Invitrogen Antibodies (provider)
- Main image

- Experimental details
- Immunohistochemical staining of HHIPL2 in human testis and endometrium tissues using HHIPL2 Polyclonal Antibody (Product # PA5-63765). Corresponding HHIPL2 RNA-seq data are presented for the same tissues.