Antibody data
- Antibody Data
- Antigen structure
- References [0]
- Comments [0]
- Validations
- Western blot [1]
- Immunohistochemistry [1]
Submit
Validation data
Reference
Comment
Report error
- Product number
- OAAB01350 - Provider product page

- Provider
- Aviva Systems Biology
- Proper citation
- Aviva Systems Biology Cat#OAAB01350, RRID:AB_2630917
- Product name
- FNTB antibody - N-terminal region
- Antibody type
- Polyclonal
- Reactivity
- Human
- Host
- Rabbit
- Vial size
- 400ul
- Storage
- Maintain refrigerated at 2-8 deg C for up to 6 months. For long term storage store at -20 deg C in small aliquots to prevent freeze-thaw cycles.
No comments: Submit comment
Supportive validation
- Submitted by
- Aviva Systems Biology (provider)
- Main image

- Experimental details
- Western blot analysis of FNTB (arrow) using FNTB Antibody (N-term) either nontransfected (Lane 1) or lysates transiently transfected transfected with the FNTB gene (Lane 2) (Origene Technologies).
- Sample type
- lysatestransiently transfected with the FNTB gene
- Primary Ab dilution
- 1.0 µg/mL
- Protocol
- Protocol
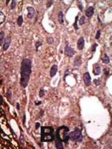
Supportive validation
- Submitted by
- Aviva Systems Biology (provider)
- Main image

- Experimental details
- Formalin-fixed and paraffin-embedded human cancer tissue reacted with the primary antibody, which was peroxidase-conjugated to the secondary antibody, followed by DAB staining. This data demonstrates the use of this antibody for immunohistochemistry; clinical relevance has not been evaluated. BC = breast carcinoma; HC = hepatocarcinoma.
- Sample type
- human cancer tissue
- Primary Ab dilution
- 1.0 µg/mL
- Protocol
- Protocol