Antibody data
- Antibody Data
- Antigen structure
- References [2]
- Comments [0]
- Validations
- Western blot [1]
- Immunohistochemistry [3]
Submit
Validation data
Reference
Comment
Report error
- Product number
- GTX12178 - Provider product page

- Provider
- GeneTex
- Proper citation
- GeneTex Cat#GTX12178, RRID:AB_381383
- Product name
- Histone H3K9ac (Acetyl Lys9) antibody
- Antibody type
- Polyclonal
- Reactivity
- Human, Mouse, Rat, Bovine, Chicken/Avian, Drosophila
- Host
- Rabbit
Submitted references Epigenetic regulation of spinal cord gene expression controls opioid-induced hyperalgesia.
Cutting edge: tubulin α functions as an adaptor in NFAT-importin β interaction.
Liang DY, Sun Y, Shi XY, Sahbaie P, Clark JD
Molecular pain 2014 Sep 12;10:59
Molecular pain 2014 Sep 12;10:59
Cutting edge: tubulin α functions as an adaptor in NFAT-importin β interaction.
Ishiguro K, Ando T, Maeda O, Watanabe O, Goto H
Journal of immunology (Baltimore, Md. : 1950) 2011 Mar 1;186(5):2710-3
Journal of immunology (Baltimore, Md. : 1950) 2011 Mar 1;186(5):2710-3
No comments: Submit comment
Supportive validation
- Submitted by
- GeneTex (provider)
- Main image

- Experimental details
- Whole cell extract from serum and sodium butyrate-treated NIH3T3 cells was separated on SDS-PAGE and blotted with Anti-Acetyl-Histone H3 [Ac-Lys9] (GTX12178). The antibodies were developed with Goat Anti-Rabbit IgG-Alkaline phosphatase and BCIP/NBT substrate. Inhibition with the acetylated [Ac-Lys9] histone H3 peptide (Lane 2) with no inhibition with the non-acetyl-histone H3 peptide (Lane 3). Lane 1: Anti-Acetyl-Histone H3 [Ac-Lys9] Lane 2: Anti-Acetyl-Histone H3 [Ac-Lys9] + [Ac-Lys9] histone H3 peptide Lane 3: Anti-Acetyl-Histone H3 [Ac-Lys9] + [non-Ac] histone H3 peptide
Supportive validation
- Submitted by
- GeneTex (provider)
- Main image

- Experimental details
- Anti-Acetyl-Histone H3 [Ac-Lys9]: GTX12178: Immunoperoxidase staining of Anti-Acetyl-Histone H3 [Ac-Lys9] in formalin fixed, paraffin-embedded rat liver at 0.1 μg/mL.
- Submitted by
- GeneTex (provider)
- Main image

- Experimental details
- Anti-Acetyl-Histone H3 [Ac-Lys9]: GTX12178: Immunoperoxidase staining of Anti-Acetyl-Histone H3 [Ac-Lys9] in formalin fixed, paraffin-embedded rat lung at 0.1 μg/mL.
- Submitted by
- GeneTex (provider)
- Main image

- Experimental details
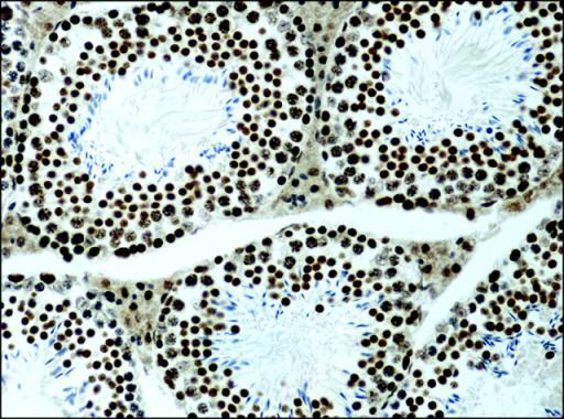
- Anti-Acetyl-Histone H3 [Ac-Lys9]: GTX12178: Immunoperoxidase staining of Anti-Acetyl-Histone H3 [Ac-Lys9] in formalin fixed, paraffin-embedded mouse testis at 0.1 μg/mL.