Antibody data
- Antibody Data
- Antigen structure
- References [0]
- Comments [0]
- Validations
- Western blot [1]
- Immunocytochemistry [1]
- Immunohistochemistry [1]
Submit
Validation data
Reference
Comment
Report error
- Product number
- AM32802PU-N - Provider product page

- Provider
- OriGene
- Product name
- H3.3A (H3F3A) (1-137) mouse monoclonal antibody, clone 2D7-H1, Purified
- Antibody type
- Monoclonal
- Description
- H3.3A (H3F3A) (1-137) mouse monoclonal antibody, clone 2D7-H1, Purified
- Host
- Mouse
- Conjugate
- Unconjugated
- Epitope
- H3F3A
- Isotype
- IgG
- Antibody clone number
- 2D7-H1
- Vial size
- 50 µg
- Concentration
- 0.5 mg/ml
No comments: Submit comment
Supportive validation
- Submitted by
- OriGene (provider)
- Main image

- Experimental details
- Western Blot analysis of H3F3B expression in transfected 293T cell line by?H3F3B Antibody ??clone 2D7-H1.
- Validation comment
- WB
Supportive validation
- Submitted by
- OriGene (provider)
- Main image

- Experimental details
- Immunofluorescence of H3F3B?Antibody ?on HeLa cell at 10 ug/ml
- Validation comment
- IF
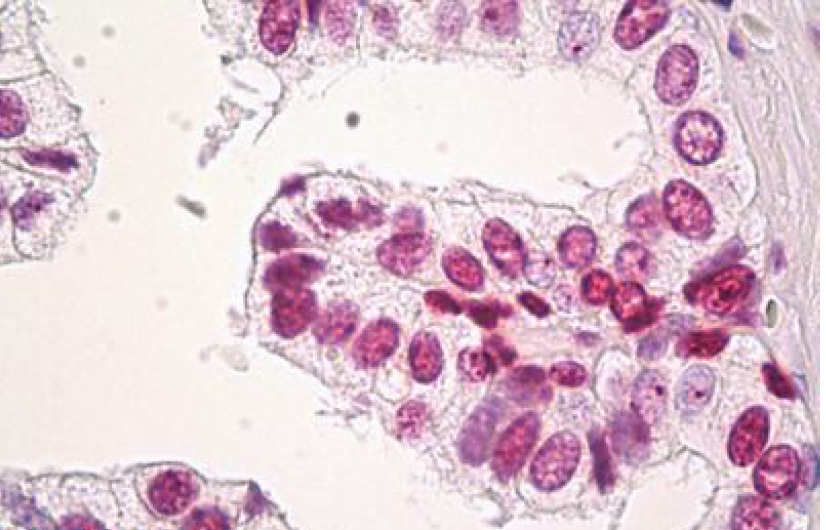
Supportive validation
- Submitted by
- OriGene (provider)
- Main image

- Experimental details
- Formalin-Fixed, Paraffin-Embedded Human Prostate tissue stained with H3F3B Antibody ? at 15 ug/ml?after heat-induced antigen retrieval.
- Validation comment
- IHC