LS-C497588
antibody from LSBio
Targeting: H3-3A
H3.3A, H3F3, H3F3A
Antibody data
- Antibody Data
- Antigen structure
- References [0]
- Comments [0]
- Validations
- Immunohistochemistry [4]
- Blocking/Neutralizing [1]
Submit
Validation data
Reference
Comment
Report error
- Product number
- LS-C497588 - Provider product page

- Provider
- LSBio
- Product name
- H3F3A Antibody LS-C497588
- Antibody type
- Monoclonal
- Reactivity
- Human, Mouse, Rat
- Host
- Rabbit
- Storage
- Store at -20°C. Avoid freeze-thaw cycles.
No comments: Submit comment
Supportive validation
- Submitted by
- LSBio (provider)
- Main image

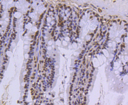
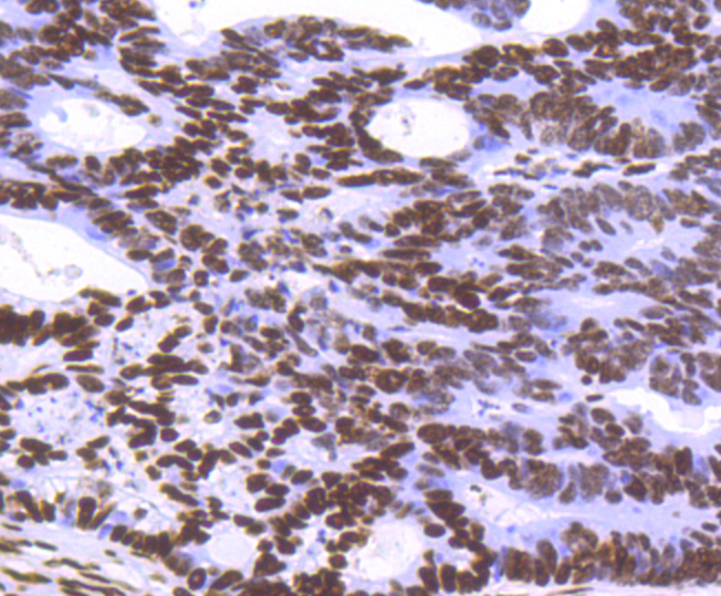
- Experimental details
- Immunohistochemistry of paraffin-embedded human colon carcinoma using H3F3A antibodyat dilution of 1:100 (40x lens).
- Submitted by
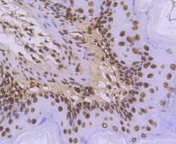
- LSBio (provider)
- Main image

- Experimental details
- Immunohistochemistry of paraffin-embedded mouse colon using H3F3A antibodyat dilution of 1:100 (40x lens).
- Submitted by
- LSBio (provider)
- Main image

- Experimental details
- Immunohistochemistry of paraffin-embedded mouse brain using H3F3A antibodyat dilution of 1:100 (40x lens).
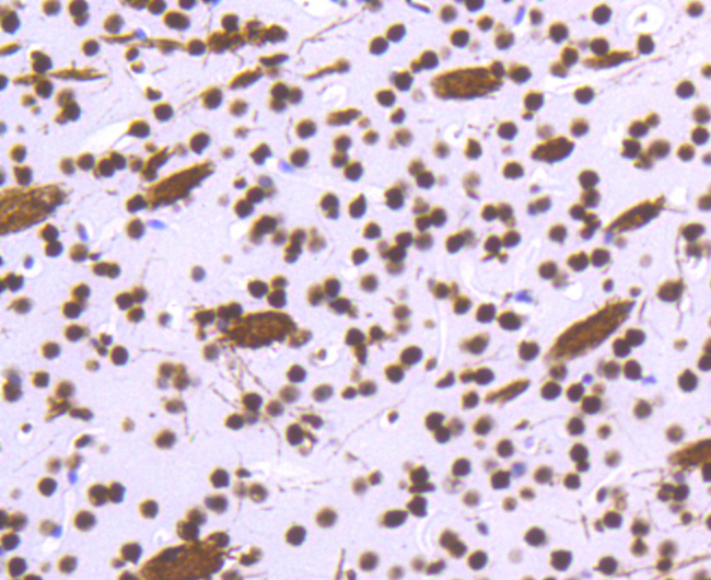
- Submitted by
- LSBio (provider)
- Main image

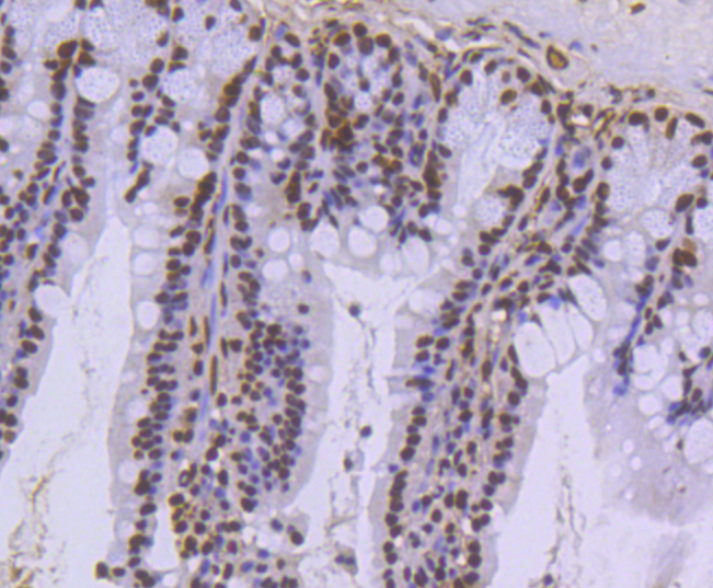
- Experimental details
- Immunohistochemistry of paraffin-embedded mouse stomach using H3F3A antibodyat dilution of 1:100 (40x lens).
Supportive validation
- Submitted by
- LSBio (provider)
- Main image

- Experimental details
- Western blot analysis of extracts of BT-20 cells, using H3F3A antibody. The secondary antibody used was an HRP Goat Anti-Rabbit IgG (H+L) at 1:10000 dilution. Lysates were loaded 25ug per lane and 3% nonfat dry milk in TBST was used for blocking.