Antibody data
- Antibody Data
- Antigen structure
- References [7]
- Comments [0]
- Validations
- Western blot [1]
- Immunocytochemistry [1]
- Immunohistochemistry [3]
- Flow cytometry [1]
Submit
Validation data
Reference
Comment
Report error
- Product number
- ABIN739109 - Provider product page

- Provider
- antibodies-online
- Proper citation
- Antibodies-Online Cat#ABIN739109, RRID:AB_11184908
- Product name
- anti-Histone 3 (H3) (AA 90-136) antibody
- Antibody type
- Polyclonal
- Description
- Purified by Protein A.
- Reactivity
- Human, Mouse, Rat, Porcine
- Host
- Rabbit
- Epitope
- AA 90-136
- Isotype
- IgG
- Vial size
- 100 μL
- Storage
- Store at -20°C
Submitted references The myocardin-related transcription factor MKL co-regulates the cellular levels of two profilin isoforms.
Epigallocatechin-3-gallate alleviates paraquat-induced acute lung injury and inhibits upregulation of toll-like receptors.
Silver nanoparticle-induced hemoglobin decrease involves alteration of histone 3 methylation status.
Selective antegrade cerebral perfusion attenuating the TLR4/NF-κB pathway during deep hypothermia circulatory arrest in a pig model.
Oestrogen receptor-mediated expression of Olfactomedin 4 regulates the progression of endometrial adenocarcinoma.
NF-κB pathway contributes to cadmium-induced apoptosis of porcine granulosa cells.
Nonenzymatic glycation of high-density lipoprotein impairs its anti-inflammatory effects in innate immunity.
Joy M, Gau D, Castellucci N, Prywes R, Roy P
The Journal of biological chemistry 2017 Jul 14;292(28):11777-11791
The Journal of biological chemistry 2017 Jul 14;292(28):11777-11791
Epigallocatechin-3-gallate alleviates paraquat-induced acute lung injury and inhibits upregulation of toll-like receptors.
Shen H, Wu N, Liu Z, Zhao H, Zhao M
Life sciences 2017 Feb 1;170:25-32
Life sciences 2017 Feb 1;170:25-32
Silver nanoparticle-induced hemoglobin decrease involves alteration of histone 3 methylation status.
Qian Y, Zhang J, Hu Q, Xu M, Chen Y, Hu G, Zhao M, Liu S
Biomaterials 2015 Nov;70:12-22
Biomaterials 2015 Nov;70:12-22
Selective antegrade cerebral perfusion attenuating the TLR4/NF-κB pathway during deep hypothermia circulatory arrest in a pig model.
Tang ZX, Chen GX, Liang MY, Rong J, Yao JP, Yang X, Wu ZK
Cardiology 2014;128(3):243-50
Cardiology 2014;128(3):243-50
Oestrogen receptor-mediated expression of Olfactomedin 4 regulates the progression of endometrial adenocarcinoma.
Duan C, Liu X, Liang S, Yang Z, Xia M, Wang L, Chen S, Yu L
Journal of cellular and molecular medicine 2014 May;18(5):863-74
Journal of cellular and molecular medicine 2014 May;18(5):863-74
NF-κB pathway contributes to cadmium-induced apoptosis of porcine granulosa cells.
Wang C, Ma W, Su Y
Biological trace element research 2013 Jun;153(1-3):403-10
Biological trace element research 2013 Jun;153(1-3):403-10
Nonenzymatic glycation of high-density lipoprotein impairs its anti-inflammatory effects in innate immunity.
Liu D, Ji L, Zhang D, Tong X, Pan B, Liu P, Zhang Y, Huang Y, Su J, Willard B, Zheng L
Diabetes/metabolism research and reviews 2012 Feb;28(2):186-95
Diabetes/metabolism research and reviews 2012 Feb;28(2):186-95
No comments: Submit comment
Supportive validation
- Submitted by
- antibodies-online (provider)
- Main image

- Experimental details
- WB
Supportive validation
- Submitted by
- antibodies-online (provider)
- Main image

- Experimental details
- Formalin-fixed and paraffin-embedded rat brain labeled with Anti-Histone H3 Polyclonal Antibody, Unconjugated (ABIN739109) 1:200, overnight at 4°C, The secondary antibody was Goat Anti-Rabbit IgG, Cy3 conjugated used at 1:200 dilution for 40 minutes at 37°C.
Supportive validation
- Submitted by
- antibodies-online (provider)
- Main image

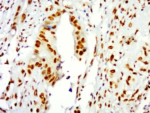
- Experimental details
- IHC
- Submitted by
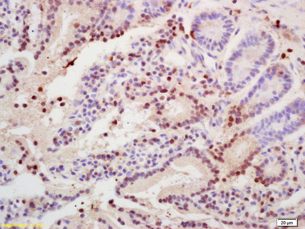
- antibodies-online (provider)
- Main image

- Experimental details
- IHC
- Submitted by
- antibodies-online (provider)
- Main image

- Experimental details
- IHC
Supportive validation
- Submitted by
- antibodies-online (provider)
- Main image

- Experimental details
- FACS