PA5-63734
antibody from Invitrogen Antibodies
Targeting: DZANK1
ANKRD64, bA189K21.8, C20orf12, C20orf84, dJ568F9.2, FLJ10600, FLJ30892
Antibody data
- Antibody Data
- Antigen structure
- References [0]
- Comments [0]
- Validations
- Immunohistochemistry [1]
Submit
Validation data
Reference
Comment
Report error
- Product number
- PA5-63734 - Provider product page

- Provider
- Invitrogen Antibodies
- Product name
- C20orf12 Polyclonal Antibody
- Antibody type
- Polyclonal
- Antigen
- Recombinant protein fragment
- Description
- Immunogen sequence: EKMSDHKPLL TAISPGRGYW RRQLDHISAH LRCYAQNNPE FRALIAEPRM GKLISATVHE DGCEVSIRLN YSQVSNKNLY LNKAVNFSDH LLSSAA Highest antigen sequence identity to the following orthologs: Mouse - 85%, Rat - 86%.
- Reactivity
- Human
- Host
- Rabbit
- Isotype
- IgG
- Vial size
- 100 μL
- Concentration
- 0.05 mg/mL
- Storage
- Store at 4°C short term. For long term storage, store at -20°C, avoiding freeze/thaw cycles.
No comments: Submit comment
Supportive validation
- Submitted by
- Invitrogen Antibodies (provider)
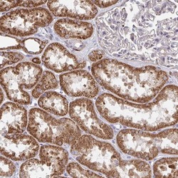
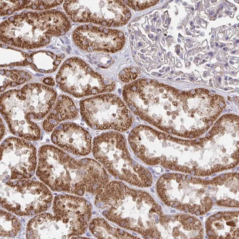
- Main image

- Experimental details
- Immunohistochemical analysis of C20orf12 in human kidney using C20orf12 Polyclonal Antibody (Product # PA5-63734) shows strong cytoplasmic positivity in cells in tubules.