Antibody data
- Antibody Data
- Antigen structure
- References [0]
- Comments [0]
- Validations
- Western blot [1]
- Immunohistochemistry [1]
Submit
Validation data
Reference
Comment
Report error
- Product number
- AP54033PU-N - Provider product page

- Provider
- Acris Antibodies GmbH
- Proper citation
- Acris Antibodies GmbH Cat#AP54033PU-N, RRID:AB_11146640
- Product name
- anti SPRR1B / Cornifin-B (C-term)
- Antibody type
- Polyclonal
- Antigen
- Synthetic peptide - KLH conjugated - corresponding to the C-terminal region (between 63-89aa) of human SPRR1B / Cornifin-B
- Reactivity
- Human
- Host
- Rabbit
- Vial size
- 0.4 ml
- Concentration
- 0.49 mg/mL
No comments: Submit comment
Supportive validation
- Submitted by
- Acris Antibodies GmbH (provider)
- Main image

- Experimental details
- Western blot analysis of Cornifin-B (arrow) in MDA-MB231, MDA-MB435 cell line lysates (35ug/lane) using SPRR1B / Cornifin-B antibody Cat.-No. AP54033PU-N (C-term).
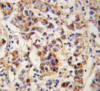
Supportive validation
- Submitted by
- Acris Antibodies GmbH (provider)
- Main image

- Experimental details
- Immunohistochemistry analysis of human breast carcinoma (Formalin-fixed, Paraffin-embedded) using SPRR1B / Cornifin-B antibody Cat.-No. AP54033PU-N (C-term), followed by peroxidase-conjugated secondary antibody and DAB staining. This data demonstrates the use of this antibody for IHC; Clinical relevance has not been evaluated.