NBP2-49175
antibody from Novus Biologicals
Targeting: SYNE3
C14orf139, C14orf49, FLJ25605, LINC00341, NCRNA00341, Nesp3, Nesprin-3, NET53
Antibody data
- Antibody Data
- Antigen structure
- References [0]
- Comments [0]
- Validations
- Western blot [1]
- Immunohistochemistry [1]
Submit
Validation data
Reference
Comment
Report error
- Product number
- NBP2-49175 - Provider product page

- Provider
- Novus Biologicals
- Product name
- Rabbit Polyclonal Nesprin-3 Antibody
- Antibody type
- Polyclonal
- Description
- Immunogen affinity purified. Specificity of human Nesprin-3 antibody verified on a Protein Array containing target protein plus 383 other non-specific proteins.
- Reactivity
- Human
- Host
- Rabbit
- Isotype
- IgG
- Vial size
- 0.1 ml
- Storage
- Store at 4C short term. Aliquot and store at -20C long term. Avoid freeze-thaw cycles.
No comments: Submit comment
Supportive validation
- Submitted by
- Novus Biologicals (provider)
- Main image

- Experimental details
- Western Blot: Nesprin-3 Antibody [NBP2-49175] - Lane 1: Marker [kDa] 250, 130, 95, 72, 55, 36, 28, 17, 10Lane 2: Human cell line RT-4Lane 3: Human cell line U-251MG sp
Supportive validation
- Submitted by
- Novus Biologicals (provider)
- Main image

- Experimental details
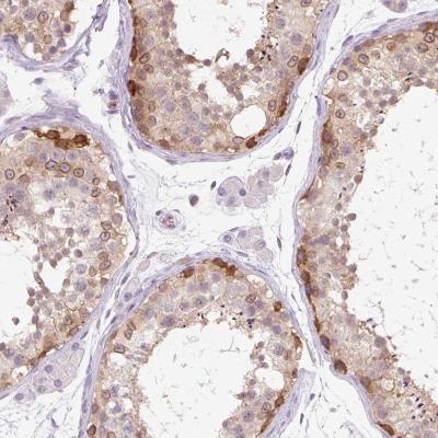
- Immunohistochemistry-Paraffin: Nesprin-3 Antibody [NBP2-49175] - Staining of human testis shows distinct nuclear membranous and cytoplasmic positivity in cells in seminiferous ducts.