Antibody data
- Antibody Data
- Antigen structure
- References [0]
- Comments [0]
- Validations
- Immunohistochemistry [1]
Submit
Validation data
Reference
Comment
Report error
- Product number
- EB06434 - Provider product page

- Provider
- Everest Biotech
- Proper citation
- Everest Biotech Cat#EB06434, RRID:AB_2257354
- Product name
- XAGE1 (Isoform 1d) / GAGED2
- Antibody type
- Polyclonal
- Antigen
- Synthetic peptide
- Reactivity
- Human
- Host
- Goat
- Antigen sequence
CGFGFRRQGEDNT- Isotype
- IgG
- Vial size
- 100ug
- Concentration
- 0.5mg/1ml
- Storage
- Aliquot and store at -20°C. Minimize freezing and thawing
- Handling
- The antibody solution should be gently mixed before use.
No comments: Submit comment
Supportive validation
- Submitted by
- Everest Biotech (provider)
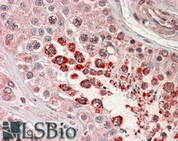
- Main image

- Experimental details
- EB06434 (3.8µg/ml) staining of paraffin embedded Human Testis. Steamed antigen retrieval with citrate buffer pH 6, AP-staining.