Antibody data
- Antibody Data
- Antigen structure
- References [1]
- Comments [0]
- Validations
- Immunohistochemistry [1]
Submit
Validation data
Reference
Comment
Report error
- Product number
- ABIN268837 - Provider product page

- Provider
- antibodies-online
- Product name
- anti-X Antigen Family, Member 1A (XAGE1A) antibody
- Antibody type
- Polyclonal
- Antigen
- Synthetic peptide CGFGFRRQGEDNT, representing the C-Terminus of the humanprotein sequence according to NP_597673. Reference Sequence: NP_597673.
- Description
- Affinity Purified
- Reactivity
- Human
- Host
- Goat
- Isotype
- IgG
- Vial size
- 0.1 mg
- Concentration
- 0.5 mg/ml
- Storage
- -20°C
Submitted references XAGE-1, a new gene that is frequently expressed in Ewing's sarcoma.
Liu XF, Helman LJ, Yeung C, Bera TK, Lee B, Pastan I
Cancer research 2000 Sep 1;60(17):4752-5
Cancer research 2000 Sep 1;60(17):4752-5
No comments: Submit comment
Supportive validation
- Submitted by
- antibodies-online (provider)
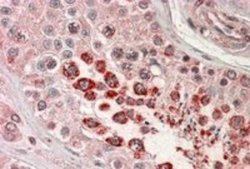
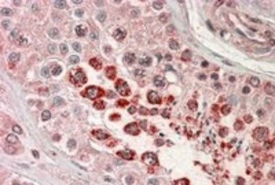
- Main image

- Experimental details
- IHC